Póster
      Nº 017

IICVHAPp.gif (9537 bytes)

IndiceIndice

Intervillositis Crónica Placentaria Asociada con Abortos de Repetición.

FRANCISCO GARCÍA HERREROS, MªJOSÉ ROCA ESTELLÉS, PASCUAL MESEGUER GARCÍA, JORGE ESCANDÓN ÁLVAREZ, ÁLVARO GÓMEZ CASTRO.

Comentarios

[TITULO] [INTRODUCCIÓN] [HISTORIA CLÍNICA] [HISTOLOGÍA E INMUNOHISTOQUÍMICA] [ICONOGRAFÍA] [DISCUSIÓN] [BIBLIOGRAFÍA]

HISTOLOGÍA E INMUNOHISTOQUÍMICA

DISCUSIÓN


ICONOGRAFÍA

Figura 1
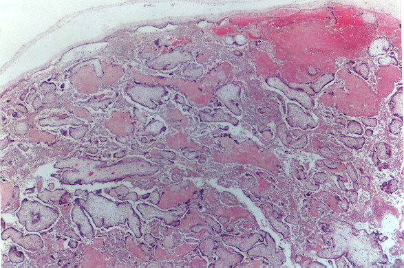
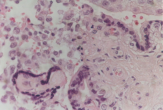
Figura 1.- HE (40X): Espacio intervillositario con densa infiltración celular y abundantes agregados de fibrina.

 

Figura 2
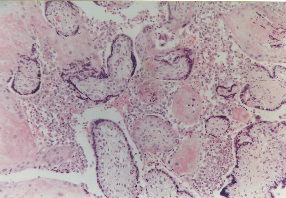
Figura 2.- HE (100X): Células inflamatorias mononucleadas en el espacio intervelloso, ausencia de villitis y degeneracion trofoblástica focal.

 

Figura 3
Figura 3.- HE (400X): Predominio de células de carácter histiocítico con algunos linfocitos dispersos. Se aprecia a mayor detalle la degeneración focal del trofoblasto.

 

Figura 4
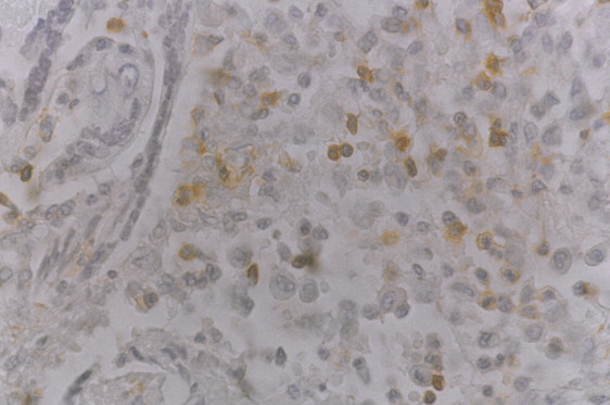
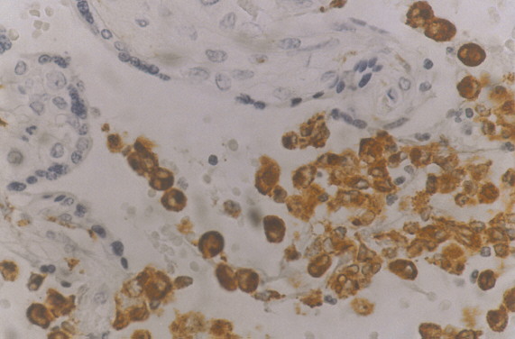
Figura 4.- CD68: Intenso inmunomarcaje de las células inflamatorias al CD68 (KP1) un marcador de la serie monocito/macrófago.

 

Figura 5
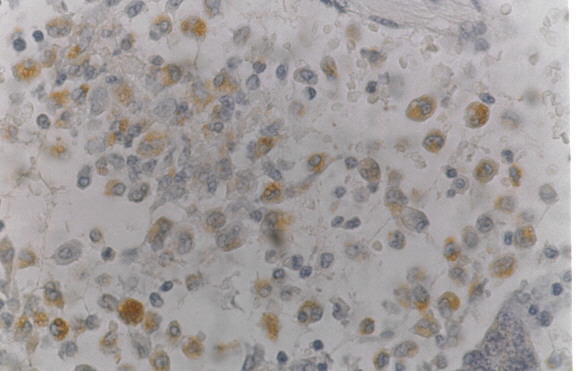
Figura 5.- Lisozima: Positividad citoplásmica de los macrófagos a la tinción para lisozima.

 

Figura 6
Figura 6.- CD43: Dispersos entre los monocitos se observan linfocitos con positividad para el marcador CD43 (MT1) de la serie T.

 


[TITULO] [INTRODUCCIÓN] [HISTORIA CLÍNICA] [HISTOLOGÍA E INMUNOHISTOQUÍMICA] [ICONOGRAFÍA] [DISCUSIÓN] [BIBLIOGRAFÍA]

HISTOLOGÍA E INMUNOHISTOQUÍMICA

DISCUSIÓN


FRANCISCO GARCÍA HERREROS, MªJOSÉ ROCA ESTELLÉS, PASCUAL MESEGUER GARCÍA, JORGE ESCANDÓN ÁLVAREZ, ÁLVARO GÓMEZ CASTRO.
Copyright © 1998. Reservados todos los derechos.