Póster
      Nº 016

IICVHAPp.gif (9537 bytes)

IndiceIndice

Lesión Pseudotumoral Endocervical Difícilmente Clasificable:
Descripción de un caso con sospecha radiológica de adenocarcinoma, que llevó a la histerectomía.

Pascual Meseguer García, María José Roca Estellés, Francisco García Herreros, Alvaro Gómez Castro, Gerardo Presencia Rubio*, Jorge Escandón Álvarez.

Comentarios

[TITULO] [INTRODUCCIÓN] [HISTORIA CLÍNICA] [RESULTADOS] [ICONOGRAFÍA] [ICONOGRAFÍA-2] [DISCUSIÓN] [BIBLIOGRAFÍA]

ICONOGRAFÍA

DISCUSIÓN


ICONOGRAFÍA-2

fig. 5
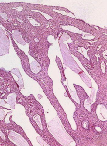
Figura 5.- H-E 25x. Glándulas endocervicales con forma de hendidura, que penetran profundamente.

 

fig. 6
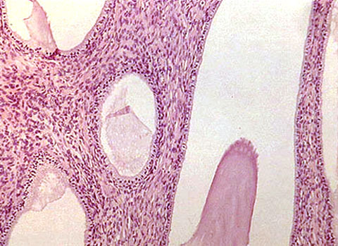
Figura 6.- H-E 100 x. El estroma endocervical es escaso y sin células inflamatorias.

 

fig. 7
Figura 7.- H-E 400 x. El epitelio que recubre los quistes es el típico columnar mucosecretor del endocervix.

 


[TITULO] [INTRODUCCIÓN] [HISTORIA CLÍNICA] [RESULTADOS] [ICONOGRAFÍA] [ICONOGRAFÍA-2] [DISCUSIÓN] [BIBLIOGRAFÍA]

ICONOGRAFÍA

DISCUSIÓN


Pascual Meseguer García, María José Roca Estellés, Francisco García Herreros, Alvaro Gómez Castro, Gerardo Presencia Rubio*, Jorge Escandón Álvarez.
Copyright © 1998. Reservados todos los derechos.