Póster
      Nº 014

IICVHAPp.gif (9537 bytes)

IndiceIndice

MIXOMA SOLITARIO DE MAMA

Jesús Siles Cadillá(1); Juan López Garrido(1); Caridad Iglesias Sosa(2); Pilar Ríos Bernal(2); David Cubero Rego(2); Mª Carmen Benitez García(2)

Comentarios

[TITULO] [INTRODUCCIÓN] [CASO CLÍNICO] [ICONOGRAFÍA] [COMENTARIO]

CASO CLÍNICO

COMENTARIO


ICONOGRAFÍA

fig.1
Figura1.- Macroscópicamente, se observó un nódulo blanco-grisáceo de 4,5 centímetros de diámetro máximo, revestido externamente por una delgada cápsula fibrosa.

 

fig. 2
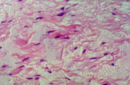
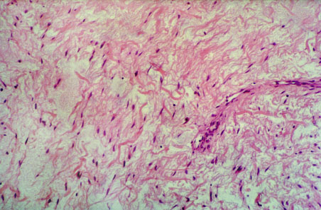
Figura 2.- Microscópicamente, el aspecto general era de escasa celularidad, con abundante material mixoide.

 

fig.3
Figura 3.- Se observaban elementos fusocelulares

 

fig.7
Figura 4.- Núcleos alargados o estrellados.

 

fig. 5
Figura 5.- En torno a algunos vasos se advertían infiltrados linfohistiocitarios.

 


[TITULO] [INTRODUCCIÓN] [CASO CLÍNICO] [ICONOGRAFÍA] [COMENTARIO]

CASO CLÍNICO

COMENTARIO


Jesús Siles Cadillá(1); Juan López Garrido(1); Caridad Iglesias Sosa(2); Pilar Ríos Bernal(2); David Cubero Rego(2); Mª Carmen Benitez García(2)
Copyright © 1998. Reservados todos los derechos.