Póster
      Nº 009

IICVHAPp.gif (9537 bytes)

IndiceIndice

MALACOPLAQUIA PULMONAR EN PACIENTES HIV (+) CON INFECCIÓN POR RODOCOCCUS EQUI.

Ribas A *; Zameza J**; Fresno M***; Turiel C*;Folgueras V*; Baizan MJ*.

Comentarios

[TITULO] [INTRODUCCIÓN] [HISTORIA CLÍNICA] [ICONOGRAFÍA] [COMENTARIO] [BIBLIOGRAFÍA]

HISTORIA CLÍNICA

COMENTARIO


ICONOGRAFÍA

fig. 1
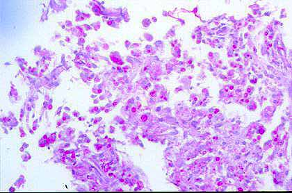
Fig 1.-Infiltrado denso constituido fundamentalmente por células histiocitarias grandes de bordes citoplasmático bien delimitados y citoplasma finamente granular H&E, 400 x

 

fig. 2
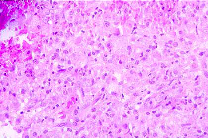
Fig 2.-Frecuentes histiocitos de Von Hansemann, conteniendo algunos cuerpos de Michaelis-Gutmann H&E, 1.000 x

 

fig. 3
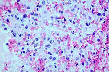
Fig 3.-Marcado PAS positividad de los citoplasmas y también de los cuerpos redondeados de M-G. PAS, 1.000 x

 

fig. 4
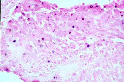
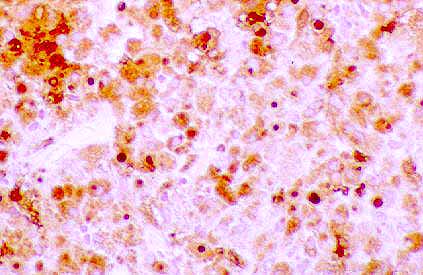
Fig 4.-Tinción Monoclonal de hisozimas donde se advierte marcada granularidad positiva de los citoplasmas y especialmente en los cuerpos de M.G, 1.000 x

 

fig. 5
Fig 5.-Cuerpos redondeados de color negro que corresponden a los cuerpos en forma de diana de M.G, 1000 x

 


[TITULO] [INTRODUCCIÓN] [HISTORIA CLÍNICA] [ICONOGRAFÍA] [COMENTARIO] [BIBLIOGRAFÍA]

HISTORIA CLÍNICA

COMENTARIO


Ribas A *; Zameza J**; Fresno M***; Turiel C*;Folgueras V*; Baizan MJ*.

Copyright © 1998. Reservados todos los derechos.