Póster
Nº 008

IICVHAPp.gif (9537 bytes)

IndiceIndice

Leiomioma con degeneración hidrópica perinodular. Reporte de un caso

Dr Eduardo Luévano Flores Dr Javier Aldrete Terrazas.

[Comentarios]

[Título] [Introducción] [Material y Métodos] [Resultados] [Iconografía 1] [Discusión] [Bibliografía]


Aspectos patológicos de la lesión

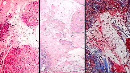
H&E x 40

(293 KB)

Figura 6: Entre los nódulos el tejido conectivo es muy laxo, con un material intercelular negativo al azul alciano y con mínima colágena en el tricrómico de Masson. Izquierda: H&E 40 x, Centro: Azul alciano 40 x, Derecha: Tricrómico de Masson 40 x.

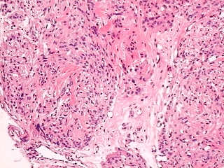
H & E 100 x

(108 KB)

Figura 7: Mayor magnificación de los nódulos formados por músculo liso, no hay necrosis; focalmente se aprecian haces gruesos de fibras de colágena. HE 100 x

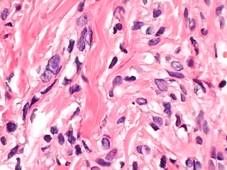
H&E x 400

(88.4 KB)

Figura 8:Mayor detalle de los nódulos, células de músculo liso sin mitosis ni atipias. H&E 400 x

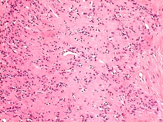
H&E x 100

(106 KB)

Figura 9:Algunos de los nódulos muestran extensa fibrosis con hialinización entre las células de músculo liso H&E 100 x.

H&E x 400

(64.8 KB)

Figura 10:Detalle citológico de las células de músculo liso en los nódulos hialinizados, nucleos sin atipias ni mitosis, existe vacuolación del citoplasma que rechaza ligeramente al núcleo H&E 400 x.

 


[Título] [Introducción] [Material y Métodos] [Resultados] [Iconografía 1] [Discusión] [Bibliografía]

M. Dr Eduardo Luévano Flores, Dr Javier Aldrete Terrazas. Policlínica Médica Chihuahua.
Copyright © 1998. Reservados todos los derechos.