Póster
Nº 008

IICVHAPp.gif (9537 bytes)

IndiceIndice

Leiomioma con degeneración hidrópica perinodular. Reporte de un caso

Dr Eduardo Luévano Flores Dr Javier Aldrete Terrazas.

[Comentarios]

[Título] [Introducción] [Material y Métodos] [Resultados] [Iconografía 2] [Discusión] [Bibliografía]


Aspectos patológicos de la lesión

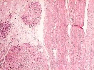
Legrado H&E x 40

(92.7 KB)

Figura 1:Material de legrado endometrial en donde se aprecian principalmente nódulos constituídos por haces de músculo liso, la esquina inferior izquierda muestra un pequeño fragmento de endometrio. H&E 40 x

Aspecto macroscópico

(222 KB)

Figura 2: Aspecto macroscópico de el espécimen de histerectomía, lesión bien delimitada en el fondo uterino, constituída por abundantes nódulos en racimos de uvas, en el segmento uterino inferior existe un coágulo en la unión con la cavidad endometrial.

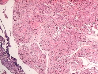
H&E x 10

(68.4 KB)

Figura 3:Aspecto microscópico panorámico del tumor, se aprecian los múltiples nódulos que constituyen la lesión H&E 10 x.

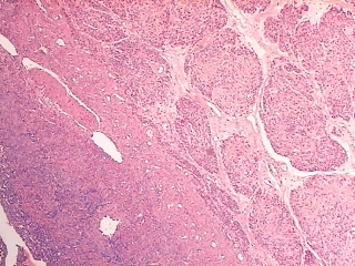
H&E x 40

(99.7 KB)

Figura 4:Borde del tumor en área vecina a la superficie endometrial, H&E 40 x.

H&E x 40

(91.2 KB)

Figura 5:Borde del tumor en área vecina a la superficie serosa, H&E 40 x.

 


[Título] [Introducción] [Material y Métodos] [Resultados] [Iconografía 2] [Discusión] [Bibliografía]

Dr Eduardo Luévano Flores y Dr Javier Aldrete Terrazas. Policlínica Médica Chihuahua.
Copyright © 1998. Reservados todos los derechos.