 |
Fig. 1. Demostración inmunohistoquímica de desmina en el intestino de rata fijado con COMPLUCAD. Obsérvese la intensa inmunorreacción in la capa muscular circular (cabezas de flechas) y en las fibras musculares de la submucosa (flechas) y en aquellas que rodean a los vasos sanguíneos (*). La barra representa 56.81 µm. |
 |
Fig. 2. Inmunolocalización positiva para vimentina en el bazo de rata fijado con COMPLUCAD. Obsérvese el producto de la inmunorreacción en el interior del citoplasma de las células plasmáticas (cabezas de flechas). La barra representa 28.86 µm. |
 |
Fig. 3. Demostración inmunoquímica a nivel de la microscopía óptica de citoqueratina en el intestino de rata fijado con COMPLUCAD. La imçnmunorreacción aparece asociada a la superficie apical de las células epiteliales formando un refuerzo (cabezas de flecha) La barra 28.86 µm. |
 |
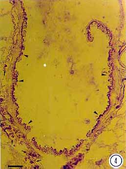
Fig. 4. Localización inmunocitoquímica de laminina en el pulmón de la rata fijado con COMPLUCAD. LA reacción positiva aparece asociada a la lámina basal de los bronquiolos (cabezas de flecha), los vasos sanguíneos (*) y las células plasmáticas (flechas). La barra representa 28.86 µm. |