Póster
Nº 002

IICVHAPp.gif (9537 bytes)

IndiceIndice

HEMANGIENDOTELIOMA EPITELIOIDE DE LA NASOFARINGE.

Reporte de un caso.

FRANCISCO ALONSO SERPAS-CRUZ (+*); Finlander Rosales (*)

Laboratorio Serpas (+) y Servicio de Patología del Hospital Nacional Rosales (*)

Edificio Tennysson, Pasaje Las Palmeras, Urbanización Florida 143. San Salvador, El Salvador, C.A.


Comentarios

Caso clínico:

Mujer de 17 años con un nódulo en fosa nasal derecha desde agosto de 1995, con episodios de epistaxis. Se practicó una tomografía axial computarizada demostrando compromiso nasofaringeo. Se tomo una biopsia del tumor .

Debido a que también tenía adenopatías cervicales bilaterales se le practicó también biopsia de una de ellas.

Características macroscópicas:

Tres fragmentos del tumor nasal (BS95-1542), irregulares, el mayor de 2.3 x 2 x1.7 cm., con zonas rojizas y otras blanquecinas. Su consistencia era firme (Fig. 1)

Características histopatológicas:

Se apreció epitelio transicional en uno de los bordes con tumor subyacente(Fig.2).

Tanto en el tumor nasal como en el ganglionar se encontró neoplasia que se caractrizaba por la proliferación de células de aspecto epitelioide, con núcleos claros o con la cromatina dispersa en la periferia y con nucléolos prominentes, dispuestas en masas, cordones (Fig 3) y estructuras de aspecto vascular capilar con el mismo tipo de células (Fig. 4).

Este detalle se confirma con las tinciones de plata para reticulina (Gordon Sweet) contrastada con hematoxilina y eosina (Fig. 5) y sólo con hematoxilina (Fig. 6),en las que se aprecia la pared vascular y la proliferación tumoral endotelial en su interior.

Características inmunohistoquímicas:

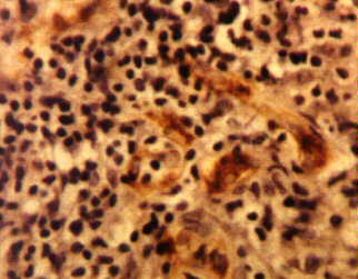
La mayor parte de las células tumorales presentaron positividad moderada o fuerte para factor VIII (Fig. 7 y 8 ).

Por todo lo anterior se diagnosticó como Hemangieondotelioma epiteliode con metástasis a gánglios linfáticos cervicales.

No se identificó invasión a otros sitios.

Se le trató con quimioterapia. Seis ciclos, iniciando el 21 de Noviembre de 1995, de una combinación de Ifosfamida, Etopósido, Dexametazona y Tropisetron. Hubo remisión completa después del tercer ciclo y no se registraron recurrencias hasta seis meses en que se presentó a sus controles por última vez.

 [Introducción] [Material y Métodos] [Caso Clínico] [Iconografía] [Discusión] [Bibliografía]

Portada