II-CVHAP.gif (16582 bytes)

TUMORES NEUROENDOCRINOS PULMONARES

Dr. F. Ignacio Aranda

Comentarios

[Índice] [Introducción] [Carcinoides] [Tumorlet] [Ca.C.Grande] [Ca.C.Pequeña] [Ca.Dif.Neuroend.] [Bibliografía]

II. TUMORES CARCINOIDES TIPICOS Y ATIPICOS.


ICONOGRAFÍA

FIGURAS [ 1 a 5 ]  [ 6 a 10 ]  [ 11 a 15 ]   [ 16 a 21 ]  [ 22 a 27 ]

 

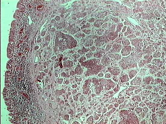
Fig16.JPG (45430 bytes)
Fig. 16
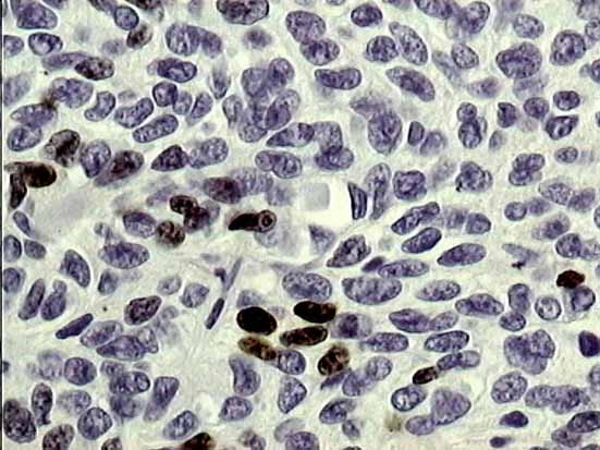
Fig17.JPG (32598 bytes)
Fig. 17
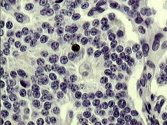
Fig18.JPG (41590 bytes)
Fig. 18
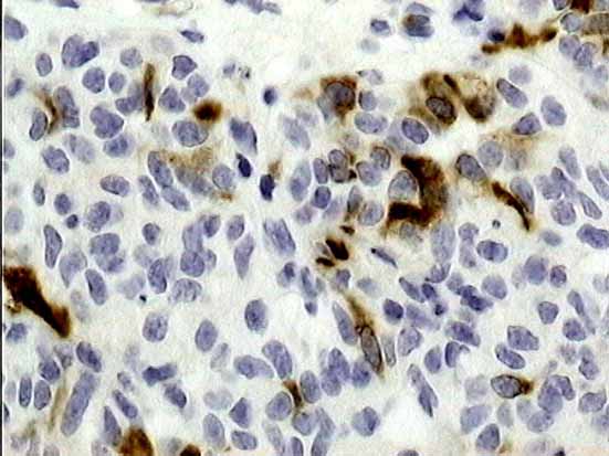
Fig19.JPG (41081 bytes)
Fig. 19
Fig20.JPG (36318 bytes)
Fig. 20
Fig21.JPG (63806 bytes)
Fig. 21

 

FIGURAS [ 1 a 5 ]  [ 6 a 10 ]  [ 11 a 15 ]   [ 16 a 21 ]  [ 22 a 27 ]

[Índice] [Introducción] [Carcinoides] [Tumorlet] [Ca.C.Grande] [Ca.C.Pequeña] [Ca.Dif.Neuroend.] [Bibliografía]


Contenido

E-mail info@conganat.org

CopyRight Dr. F. Ignacio Aranda, 1998.
Última actualización: 01 noviembre 1998 22:08