II-CVHAP.gif (16582 bytes)

IndiceIndice

CITOPATOLOGIA DEL ADENOMA PLEOMORFO

José M. Viguer, Blanca Vicandi, Pilar López Ferrer, José A. Jiménez Heffernan.

 Comentarios

[TITULO] [INTRODUCCIÓN] [RESULTADOS] [DISCUSION] [BIBLIOGRAFIA]

DISCUSION


El estudio por PAAF de las glándulas salivales a demostrado ser un método de probada eficacia diagnóstica. No obstante aun existen opiniones contrarias a su uso. El diagnóstico de AP por punción suele ser sencillo, mostrando entre un 89.5 y 96.2% de acierto diagnóstico (Fig.1).


FIG. 1

 

Existen cambios histológicos que condicionan variaciones en la presentación citológica. Entre estos destaca la metaplasia (escamosa, mucosa, oxifílica y sebácea) del epitelio ductal, el deposito de cristales de tirosina, la presencia de pesudoinclusiones intranucleares y variaciones en la celularidad estromal. La mayoría de las veces no crean dificultades diagnósticas ya que son pequeños cambios que tienen lugar en extendidos fácilmente diagnosticables de AP. Por el contrario existen lo que hemos dado en llamar “variaciones citológicas mayores” que si son causa de errores diagnósticos al mostrar una imagen muy alejada del AP convencional. En nuestra serie hemos dividido esta variaciones en:

a) AP con atipia citológica (20.6%);
b) AP quístico (7%); y
c) AP de patrón clindromatoso (5%).

 

Tanto en nuestros casos, así como en otras series, la atipia celular ha sido un hallazgo relativamente frecuente (Fig.2).


FIG. 2

 

Generalmente, el pleomorfismo nuclear es moderado y no llega a los límites de hacer sospechar malignidad. Uno de nuestros casos, especialmente pleomórfico, fue responsable de un informe falso positivo (tumor mixto maligno). La atípia citológica por si sola no es criterio suficiente de malignidad en un AP y otros criterios citológicos (necrosis, predominio epitelial intenso, perdida de citoplasmas) y clínicos son necesarios para el diagnóstico preoperatorio de tumor mixto maligno. Aunque tratamos de evitar el uso de diagnósticos descriptivos en aquellos casos con marcada atipia si usamos el termino de “AP con atípia epitelial” y recomendamos inmediata comprobación histológica. No obstante esto ocurre muy raramente y en la mayoría de los casos de AP con atipia no se hace mención a ésta en el informe final.

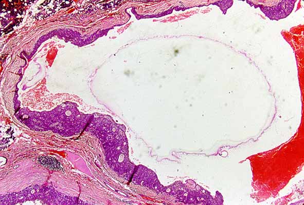
Otro problema importante es el relacionado con las lesiones quísticas. En nuestra serie el 7% de los AP mostraron componente quístico durante la aspiración. Es bien conocido que un numeroso grupo de procesos salivales (neoplásicos y no neoplásicos) se manifiestan como lesiones quísticas. Entre las neoplasias destacan: el carcinoma mucoepidermoide de bajo grado, tumor de Whartin, carcinoma acinar, carcinoma epidermoide metastásico y el AP. Nuestra serie incluye 7 casos que fueron diagnosticados citológicamente como lesiones quísticas no neoplásicas y que resultaron ser AP. Histológicamente estos casos evidenciaron cambios quísticos de tamaño variable (Fig.3).


FIG. 3

 

La degeneración quística y producción de mucina ha sido descrita en los AP y como puede observarse fue responsable de la mayoría de nuestros errores citológicos. Hoy día cuando aspiramos una lesión salival quística procuramos obtener la mayor cantidad de liquido posible y volvemos a puncionar si existe palpación residual. El procesado de todo el material y un examen detallado permite detectar en la mayoría de los casos grupos epiteliales y elementos estromales. Si estos no son suficientes para un diagnóstico concreto al menos permitirán un diagnóstico genérico de lesión neoplásica motivando una exploración quirúrgica. La presentación quística y la producción de mucina hacen del AP un tumor susceptible de ser confundido con el carcinoma mucoepidermoide de bajo grado (tabla 2 ).

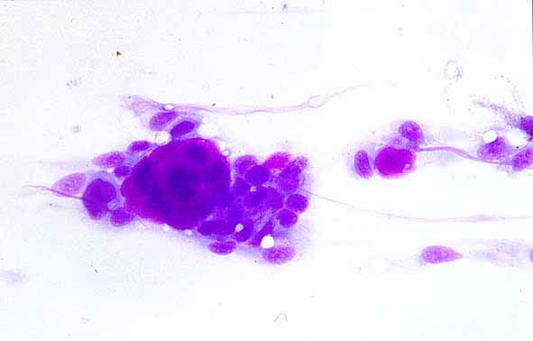
Los AP con patrón cilindromatoso citológico constituyeron el 5% de la serie (Fig.4).


FIG. 4

 

En nuestra opinión es uno de los patrones menos conocido, posiblemente debido a su escasa frecuencia. Las consecuencias de su desconocimiento son importantes ya que muestra grandes similitudes con el carcinoma adenoide quístico. En estos casos los extendidos muestran estructuras globulares de material estromal homogéneo, metacromático y rodeadas de elementos celulares. El patrón general es muy similar al observado en el carcinoma adenoide quístico. La celularidad de este ultimo tipo tumoral muestra grupos celulares con escasa cantidad de citoplasma, núcleos pequeños, hipercromáticos y núcleos desnudos en contraposición al AP donde el citoplasma, tanto en los grupos como en células aisladas, suele ser amplio. En estos AP con patrón cilindromatoso el estudio histológico evidencia zonas de morfología adenoide responsables de la imagen citológica. La expresión inmunohistoquímica de proteína gliofibrilar ácida por parte del AP ayuda a la diferenciación entre ambos tumores.

Los siguientes errores diagnósticos de nuestra serie resultaron mas infrecuentes o de menor trascendencia terapéutica. La confusión de un AP de predominio epitelial con un adenoma monomorfo o mioepitelioma tiene escasa repercusión ya que el manejo quirúrgico es semejante. Desde un punto de vista mas académico la diferenciación con algunos tipos de mioepitelioma es difícil ya que no existen criterios histológicos definidos para esta entidad y algunos autores los consideran muy próximos al adenoma pleomorfo. De mayor trascendencia resulta confundir la metástasis de un carcinoma de células basales con un AP. Esto puede parecer difícil pero se debe resaltar que el estroma desmoplásico que acompaña a muchos de estos tumores puede mostrar semejanzas con el estroma condromixoide del AP y determinan un patrón bifásico superponible al del AP. En estos casos la información clínica previa resulta de gran importancia. La presencia de inclusiones intranucleares en el AP ha sido descrito como motivo de confusión con metástasis de carcinoma papilar de tiroides. En nuestra experiencia resultó un hallazgo relativamente frecuente y no necesariamente deben hacernos pensar en otras posibilidades diagnósticas.

Uno de los motivos aducidos por los detractores de la PAAF, es la existencia de alteraciones tisulares inducidas por la punción que resultan en dificultades o imposibilidad de un diagnóstico histológico posterior. En nuestra experiencia este es un hecho inaudito. Ningún caso mostró necrosis tumoral masiva y tampoco cambios que dificultaran un estudio histopatológico. No obstante, si hemos observado un caso de necrosis tumoral masiva en un tumor de Whartin. En este sentido recomendamos el uso de agujas de calibre fino (23 ó 25G) y la realización de aspiraciones rápidas y poco cruentas.

En definitiva nuestro estudio muestra que el diagnóstico citológico de AP es posible en la gran mayoría de los casos. La existencia de frecuentes variaciones citológicas tales como: la presencia de atipia, la transformación quística y el patrón cilindromatoso pueden dificultar su reconocimiento citológico. Es por lo tanto importante que el patólogo esté familiarizado con estas formas de presentación.

 

[TITULO] [INTRODUCCIÓN] [RESULTADOS] [DISCUSION] [BIBLIOGRAFIA]

Contenido

E-mail info@conganat.org

José M. Viguer, Blanca Vicandi, Pilar López Ferrer, José A. Jiménez Heffernan.
Copyright © 1998. Reservados todos los derechos.