
JULIANA FARIÑA GONZALEZ
| [Índice] [Introducción] [Material y Métodos] [Resultados] [Indicaciones] [Eficiencia] [Investigación] [Bibliografía] |
Por el contrario el aspecto de un pulmón sin aire porque no ha respirado, es característico y se diferencia tanto del que le ha entrado aire como de la atelectasia adquirida. Esto hace que la ecografia postmortem pueda ser utilizada de diagnostico rápido en la sala de autopsia en caso de estudios forenses para determinar si un niño ha muerto dentro del útero o si ha nacido vivo y ha respirado. En nuestra experiencia en todos los casos hemos diagnosticado correctamente cuando el neonato había respirado o no (Fig. 49B)
Sin embargo aunque el aire impide el paso de los ultrasonidos, hay que tener en cuenta que en la autopsia las enfermedades pulmonares impòrtantes en la muerte del paciente son extensas por lo que en los cadáveres suelen alcanzar la superficie y por ello son a menudo visibles. Además en pulmón es aconsejable coger más muestras que en otros órganos. El estudio al microscopio nos dará concordancia en el diagnóstico con el de la autopsia en un porcentaje alrededor del 90% de los casos. La obtención de material se hace con visualización ecográfica aunque en el momento del pinchazo puede desaparecer la imagen detrás de la costilla adyacente.
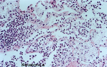
La Fig 50 está producida por una neumonía en un adulto.
Las muestras histológicas pueden tener unas alteraciones evidentes (Fig 51)
Fig 51
pero a menudo la tru-cut en pulmón exprime el material que extrae por lo que el exudado intralveolar es más escaso que en la autopsia definitiva.
Así cualquier pequeño grupo de polimorfonucleares en el alvéolo indica neumonía. Igual ocurre con el edema y la hemorragia intraalveolar que son siempre mucho menos importantes que en la autopsia clásica.
La imagen (Fig 52) corresponde a edema pulmonar con fibrina. Se observa también la arteria bronquial y el bronquio.
En la Fig 53 se observa un derrame con adherencias y una atelectasia.
La imagen de un quiste hidatidico pulmonar se ve en la Fig 54
CORAZON.- En la ecopsia el corazón debe ser mirado antes de hacer punción en el tórax. Igualmente se mirará antes de puncionar el tórax como están la aorta y la pulmonar. Esto es así porque hemos comprobado que el corazón y la arteria pulmonar pueden desaparecer cuando hacemos punción de la cavidad torácica por la entrada de gas por la presión negativa y la pérdida de elasticidad de la piel del cadáver.
El corazón se mira desde zonas paraesternales (Fig 55)
o a través del hígado como ventana. (Fig 56).
Se ven los ventrículos, septo, válvulas y aurículas. El relieve que hay en el techo de la aurícula derecha de la Fig 56, corresponde a un coagulo postmortem.
En la Fig 57, se está procediendo a punzar la mitral.
La figura 58 muestra un dibujo clásico semejante a esta sección.
Son más fáciles de obtener las muestras de tabique y ventrículos que las de válvulas y de los anillos. También trataremos de conseguir muestras del contenido. Si hay sospecha clínica de patología cardiaca se deben hacer más punciones pues el estudio histológico nos aclarará a menudo el diagnostico. Las malformaciones cardiacas son muy difíciles de diagnosticar. En la serie que presentamos sólo había un caso con un vaso anómalo entre carótida y tronco braquicefálico que la ecopsia no vio. Sin embargo en los adultos la tipificación de las malformaciones cardiovasculares con los medios de la cardiología actual es muy precisa y en los neonatos sólo el 4% de las anomalías fatales son cardiacas (22).
HIGADO, PANCREAS, VASOS SANGUINEOS, SISTEMA URINARIO, TUBO DIGESTIVO, CEREBRO, OTROS
| [Índice] [Introducción] [Material y Métodos] [Resultados] [Indicaciones] [Eficiencia] [Investigación] [Bibliografía] |