
Enrique Hernández, MD, Holly Thomas, MD ,Paul B. Heller, MD , Gulnar Balsara, MD , Lisa L. Anderson, MD |
[Índice] [Introducción] [Materiales y Métodos] [Resultados] [Comentario] [Conclusión] [Bibliografía] |
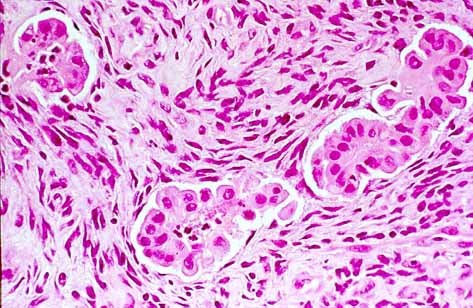
Dieciocho pacientes con tumores del epitelio ovárico de PMB (serosos y mucinosos) fueron tratadas por oncólogos del Departamento de Oncología Ginecológica de la Universidad Allegheny entre junio del 1989 y enero del 1997. Los cortes histológicos fueron teñidos con hematoxilina y eosina y examinados por dos de los autores (EH y GB). Los criterios histológicos utilizados al examinar los tumores serosos, ya fueran estos superficiales o intra-ováricos (quísticos) incluye hiperplasia del epitelio, mitosis y núcleos atípicos, y ausencia de invasión del estroma ovárico. La hiperplasia del epitelio produce múltiples capas celulares. La estratificación celular consiste de unas tres a cinco capas de células (figura 1), pero algunos tumores pueden tener estratificación celular de 10 a 12 capas.
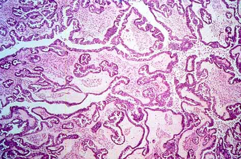
A baja magnificación estos tumores se caracterizan por una arquitectura compleja de frondas papilares pequeñas, o grupos de células formando papilas pero sin un centro de tejido conectivo. Grupos de células y células individuales se desprenden de las papilas y se encuentran en el lumen del quiste. Esta arquitectura típica de los tumores del epitelio ovárico de PMB se demuestra en la figura 2.
Las características citológicas incluye hipercromatismo, núcleos agrandados y nucleolos prominentes (figura 1). Frecuentemente se encuentran células con apariencia de raqueta de tenis y células ciliadas con citoplasma eosinofílico abundante. Aunque en ocasiones la apariencia anormal de los núcleos celulares puede ser marcada, no se ven núcleos con apariencia bizarra ni células gigantes tumorales. Cincuenta por ciento de los tumores serosos del ovario de PMB tienen cuerpos de psammoma. Aunque se pueden identificar mitosis en estos tumores estas no exceden cuatro mitosis por diez campos de alta magnificación (o cero a una mitosis por campo de alta magnificación). Es raro que estos tumores tengan figuras mitóticas anormales.
Los tumores mucinosos de PMB, como los serosos, están compuestos por frondas papilares y pimpollos. La arquitectura papilar es más prominentes en los tumores mucinosos de apariencia endocervical que en los de apariencia intestinal. Según la hiperplasia del epitelio aumenta, aumentan las capas celulares y la arquitectura histológica se vuelve más compleja. Areas del tumor pueden tener una apariencia cribiforme. En tumores ováricos mucinosos estos cambios pueden ser focales y no ser identificados en un tumor de apariencia totalmente benigna (i.e., adenoma quístico) a menos que se examinen múltiples áreas del tumor. En nuestro laboratorio preparamos un corte histológico por cada centímetro del diámetro mayor del tumor. Los tumores ováricos mucinosos de apariencia endocervical son menos comunes que los de apariencia intestinal. Endometriosis, inflamación, y necrosis se encuentran más frecuentemente en tumores ováricos mucinosos de apariencia intestinal que en los de apariencia intestinal. Los tumores ováricos mucinosos de apariencia intestinal contienen células neuroendocrinas y células con apariencia de copa (goblet cells). En ambos subtipos la apariencia celular es variable con una reducción en la cantidad de la mucina citoplásmica, núcleos hipercromáticos irregulares, y nucleolos grandes. El número de mitosis es mínimo, de cero a una mitosis por campo de magnificación alta. Aunque la invasión del estroma es el hallazgo de más importancia que identifica cualquier tumor del epitelio ovárico como maligno, frecuentemente es difícil en tumores ováricos mucinosos identificar con claridad si hay o no invasión del estroma. Esto se debe a la tendencia de las glándulas de los tumores ováricos mucinosos de PMB a desarrollar pimpollos en el estroma ovárico. Esto es el resultado de las invaginaciones del epitelio que se encuentran en estos tumores. El encontrar las glándulas rodeadas por estroma es un artefacto del corte histológico. Debido a esta dificulta hacemos el diagnostico de adenocarcinoma mucinoso del ovario en casos que aparentan ser de PMB cuando la estratificación celular es de cuatro o más capas y hay áreas amplias del tumor donde las glándulas están en aposición directa sin estroma entre ellas y a veces forman una arquitectura cribiforme. Usualmente en estos casos las anormalidades celulares son más pronunciadas y hay más mitosis que en los tumores mucinosos ováricos de PMB.
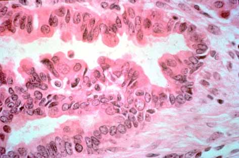
Todas nuestras 18 pacientes se sometieron a una laparotomía y evaluación quirúrgica para determinar el estadío del tumor. En trece pacientes se realizo una histerectomía y salpingo-oforectomía bilateral. En cinco pacientes se realizo una salpingo-oforectomía unilateral y se conservo el útero y el ovario contralateral. Tres de las 18 pacientes recibieron terapia adicional después de la cirugía. Una paciente con un tumor seroso de PMB estadío IIIB y con un foco de adenocarcinoma seroso grado 1 en el omento fue tratada con ciclofosfamida y cisplatino. Una paciente con un tumor seroso estadío IC con un área de microinvasion (figura 3) recibió ciclofosfamida y carboplatino. Una paciente con un tumor seroso de PMB estadío IIIA fue tratada con un progestágeno oral.
[Índice] [Introducción] [Materiales y Métodos] [Resultados] [Comentario] [Conclusión] [Bibliografía] |