
Dra. Teresa Garcia Miralles
|
![]() |
[Índice] [Introducción] [Facts. 1ª Gen.] [Facts. 2ª Gen.] [Iconografía] [Conclusiones] [Protocolo] [Bibliografía] |
![]() |
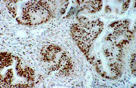
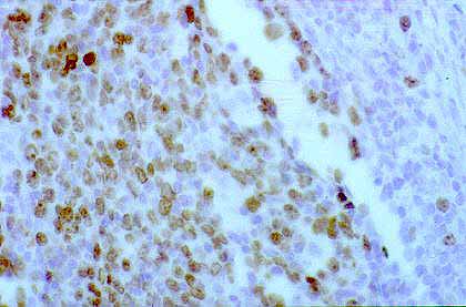
Fig 7.- La presencia de Receptores Hormonales (RE/RP) pueden estar presentes tanto en el componente glandular como estromal del tejido endometrial normal y neoplasico.Tincion de Avidina -Estreptovidina X 200. |
![]() |
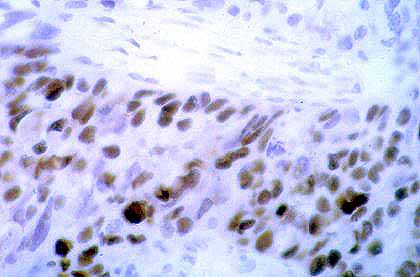
Fig 8.- Positividad en el estroma para RE en un adenocarcinoma endometrioide bien diferenciado. Negatividad de la glándula acompañante.Tincion de Avidina -Estreptovidina X 200. |
![]()
|
Fig 9.- Presencia de RP en un adenocarcinoma endometrioide bien diferenciado. Grado 1 nuclear.Tincion de Avidina-Estreptovidina X 200. |
![]() |
Fig 10.- Hiperexpresion de la proteína p53 en un área sólida de un Ca endometrioide Grado III de diferenciación, Grado 3 nuclear.Tincion de Avidina-Estreptovidina X 400. |
![]() |
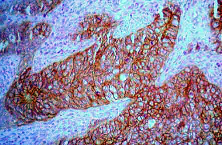
Fig 11.- El protooncogen Her-2 neu es positivo en este Ca endometrioide de alto Grado de Malignidad. Obsérvese el patrón característico de membrana.Tincion de Avidina -Estreptovidina X 400. |
![]() |
Fig 12.-Presencia de Her-2 neu en un Adenocarcinoma de Células Claras.Tincion de Avidina-Estreptovidina X 400. |
![]() |
Fig 13.- Factor de Proliferación (MIB-1) positivo en los núcleos de un Ca endometrioide Grado III.Tincion de Avidina-Estreptovidina X 400. |
[Índice] [Introducción] [Facts. 1ª Gen.] [Facts. 2ª Gen.] [Iconografía] [Conclusiones] [Protocolo] [Bibliografía] |