
Dra. Teresa Garcia Miralles
|
![]() |
[Índice] [Introducción] [Facts. 1ª Gen.] [Facts. 2ª Gen.] [Iconografía 2] [Conclusiones] [Protocolo] [Bibliografía] |
![]() |
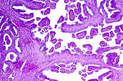
Fig 1.- Carcinoma de endometrio bien diferenciado (Grado I) con patrón Glandulo-Papilar. Hematoxilína / Eosina X 200. |
![]() |
Fig 2.- Formaciones glandulares tapizadas por epitelioestratificado. Nucleos de tamaño y forma regulares, nucleolos poco prominentes y patrón nuclear de cromatina laxo. Grado nuclear 2.Hematoxilína/eosina X 400. |
![]() |
Fig 3.- Carcinoma de endometrio de Células Claras. Grandes núcleos polimorfos con cromatina granular y amplios citoplasmas claros. En ocasiones se puede observar la presencia (masas eosinofilicas) de filamentos. Esto ocurre en ocasiones en otros Ca de Células Claras.Hematoxilína / Eosina X400. |
![]() |
Fig 4.- Carcinoma Papilar Seroso. Estructuras vellosas formadas por ejes conectivos laxos y tapizadas por células poligonales de núcleos alargados y pleomorficos. Obsérvese la imagen en tachuela de algunas de las células.Hematoxilina /Eosina X 400. |
![]() |
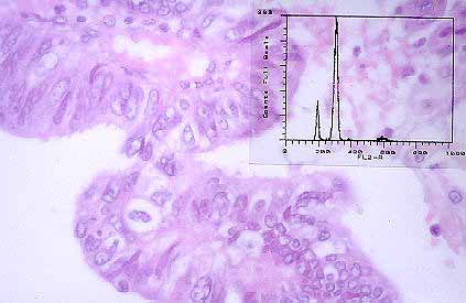
Fig 5.- Adenocarcinoma endometrioide bien diferenciado con Histograma de ADN Diploide y fases de proliferación (Fase S/G2M) bajas.Hematoxilina / Eosina X400. |
![]() |
Fig 6.- Como ha sido descrito el Ca Papilar Seroso es preferentemente aneuploide y con fases de proliferación altas como en este caso.Hematoxilina / Eosina X 400 |
.
[Índice] [Introducción] [Facts. 1ª Gen.] [Facts. 2ª Gen.] [Iconografía 2] [Conclusiones] [Protocolo] [Bibliografía] |