Comunicación
      Nº 071

IICVHAPp.gif (9537 bytes)

IndiceIndice

TUMOR NEUROEPITELIAL DISEMBRIOPLÁSICO.
ESTUDIO CLÍNICO, HISTOLÓGICO E INMUNOHISTOQUÍMICO CUATRO NUEVOS CASOS

Teresa Ribas Ariño, Elena García Lagarto, Francisco Miguel Izquierdo García, Santos Salas Valién, Ángela Miguelez Simón.

Comentarios

[TITULO] [INTRODUCCIÓN] [MATERIAL Y MÉTODOS] [RESULTADOS] [ICONOGRAFÍA] [ICONOGRAFÍA-2] [DISCUSIÓN] [BIBLIOGRAFÍA]

ICONOGRAFÍA

DISCUSIÓN


ICONOGRAFÍA-2

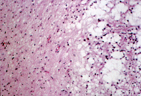
fig. 5
Fig.5: Aspecto multiquístico y laxo. H&Ex 20.

 

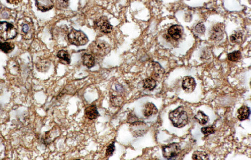
fig. 6
Fig.6: Positividad para la NSE en las células oligodendrocito-like, NSEx40.

 

fig. 7
Fig.7: Positividad para Leu-7 en las mismas células. Leu-7x100.

 


[TITULO] [INTRODUCCIÓN] [MATERIAL Y MÉTODOS] [RESULTADOS] [ICONOGRAFÍA] [ICONOGRAFÍA-2] [DISCUSIÓN] [BIBLIOGRAFÍA]

ICONOGRAFÍA

DISCUSIÓN


Teresa Ribas Ariño, Elena García Lagarto, Francisco Miguel Izquierdo García, Santos Salas Valién, Ángela Miguelez Simón.
Copyright © 1998. Reservados todos los derechos.