Comunicación
      Nº 070

IICVHAPp.gif (9537 bytes)

IndiceIndice

MIOPATIA NEMALINICA ASOCIADA A FALLO EN LA DIFERENCIACIÓN DEL TIPO DE FIBRAS

Teresa Ribas Ariño, Ángela Miguélez Simón, Francisco Miguel Izquierdo García, Elena García Lagarto, Santos Salas Valién.

Comentarios

[TITULO] [INTRODUCCIÓN] [HISTORIA CLINICA] [RESULTADOS] [ICONOGRAFÍA] [ICONOGRAFÍA-2] [DISCUSIÓN] [BIBLIOGRAFÍA]

RESULTADOS

ICONOGRAFÍA-2


ICONOGRAFÍA

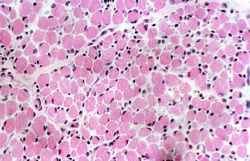
fig. 1
Fig.1: Fibras de aspecto atrófico, delimitadas por bandas de colágeno, sin cambios inflamatorios. H&EX40.

 

fig. 2
Fig.2: Numeroso bastoncillos fucsinófilos dispersos por las fibras musculares. Tricrómico de Gomori X40.

 

fig. 3
Fig.3: Bastoncillos en disposición apelotonada, con densidad irregular en el sarcoplasma. Tricrómico de Gomori X100.

 

fig. 4
Fig.4: Area periférica sin reacción por la presencia de las formaciones, junto con uniformidad en la tinción de las fibras. ATPasa 9,4X100.

 


[TITULO] [INTRODUCCIÓN] [HISTORIA CLINICA] [RESULTADOS] [ICONOGRAFÍA] [ICONOGRAFÍA-2] [DISCUSIÓN] [BIBLIOGRAFÍA]

RESULTADOS

ICONOGRAFÍA-2


Teresa Ribas Ariño, Ángela Miguélez Simón, Francisco Miguel Izquierdo García, Elena García Lagarto, Santos Salas Valién.
Copyright © 1998. Reservados todos los derechos.