Comunicación
      Nº 069

IICVHAPp.gif (9537 bytes)

IndiceIndice

CARCINOMA DE CELULAS DE MERKEL EN GANGLIOS LINFATICOS SIN TUMOR CUTANEO PRIMARIO CONOCIDO.

J.M. Díaz Iglesias*, M.F. Fresno Forcelledo**, P. Ablanedo Ablanedo**, M.C. Camacho García*, M.J. Pérez del Río**, C. Díaz Iglesias***, J.L. Losa García****, O. Báez Marrero*, A. Herrero Zapatero**

Comentarios

[TITULO] [INTRODUCCIÓN] [CASOS CLÍNICOS] [ICONOGRAFÍA] [DISCUSIÓN] [BIBLIOGRAFÍA]

CASOS CLÍNICOS

DISCUSIÓN


ICONOGRAFÍA

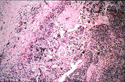
fig. 1
Figura 1: Carcinoma de células de Merkel, células neoplásicas infiltrando gánglio linfático.

 

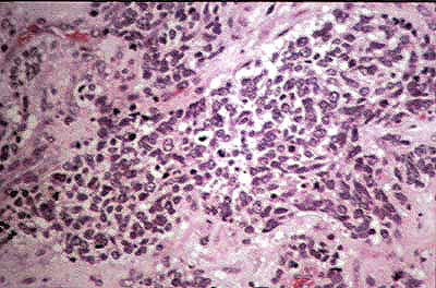
fig. 2
Figura 2:Células tumorales de núcleo redondeado u ovoideo, cromatina dispersa, nucléolo pequeño, elevada actividad mitótica y citoplasma escaso.

 

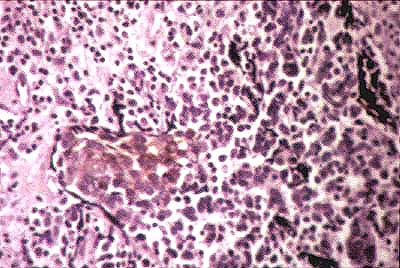
fig. 3
Figura 3:Tinción para citoqueratinas con el típico acúmulo paranuclear (AE1/AE3).

 

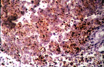
fig. 4
Figura 4:Positividad focal en celulas neoplásicas frente a cromogranina.

 


[TITULO] [INTRODUCCIÓN] [CASOS CLÍNICOS] [ICONOGRAFÍA] [DISCUSIÓN] [BIBLIOGRAFÍA]

CASOS CLÍNICOS

DISCUSIÓN


J.M. Díaz Iglesias*, M.F. Fresno Forcelledo**, P. Ablanedo Ablanedo**, M.C. Camacho García*, M.J. Pérez del Río**, C. Díaz Iglesias***, J.L. Losa García****, O. Báez Marrero*, A. Herrero Zapatero**
Copyright © 1998. Reservados todos los derechos.