Comunicación
      Nº 068

IICVHAPp.gif (9537 bytes)

IndiceIndice

PSEUDOQUISTES SUPRARRENALES.
PRESENTACIÓN DE DOS CASOS.

J. Martín Fernández, M: Delgado Portela, T. Casanueva Luis, C. Ladrón Gil, J.M. Ramia Angel, T. Cubo Cintas, M. García Rojo, J. Hernández Calvo.

Comentarios

[TITULO] [INTRODUCCIÓN ] [CASOS CLÍNICOS] [ICONOGRAFÍA] [DISCUSIÓN] [BIBLIOGRAFÍA]

CASOS CLÍNICOS

DISCUSIÓN


ICONOGRAFÍA

fig. 1
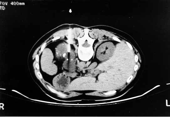
Figura 1: Caso 1. PAAF de tumor quístico de suprarrenal izquierda guiada por TAC. Se pueden apreciar las paredes parcialmente calcificadas.

 

fig. 2
Figura 2: Caso 1. Glándula suprarrenal izquierda con una tumoración quística multiloculada de 8,5 x 4,5 cm de tamaño.

 

fig. 3
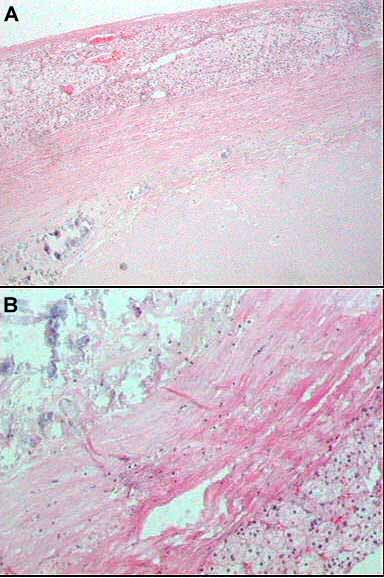
Figura 3: Caso 1. La neoformación esta constituida por una pared de tejido fibroso, con presencia de calcificaciones.

 

fig. 4
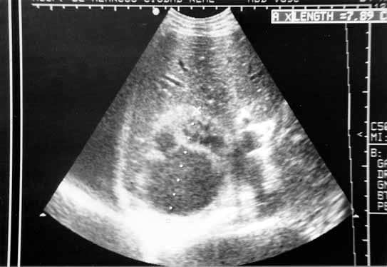
Figura 4: Caso 2. Ecografía de un tumor quístico heterogéneo de 7,89 cm de longitud, que está encima del polo superior del riñón derecho.

 

fig. 5
Figura 5: Caso 2. Cavidad quística de paredes gruesas.

 

suprar6.jpg (25319 bytes)
Figura 6: Caso 2. Pared de tejido fibroso que presenta infiltrado inflamatorio, con un contenido hemático en la cavidad.

[TITULO] [INTRODUCCIÓN ] [CASOS CLÍNICOS] [ICONOGRAFÍA] [DISCUSIÓN] [BIBLIOGRAFÍA]

CASOS CLÍNICOS

DISCUSIÓN


J. Martín Fernández, M: Delgado Portela, T. Casanueva Luis, C. Ladrón Gil, J.M. Ramia Angel, T. Cubo Cintas, M. García Rojo, J. Hernández Calvo.
Copyright © 1998. Reservados todos los derechos.