AFECTACION HEPATICA EN LA ENFERMEDAD POR DEPOSITO DE ESTERES DE COLESTEROL
Atiénzar M, Hardisson D, Gutiérrez C*

ICONOGRAFÍA
 |
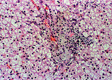
| Fig 1. Hepatocitos aumentados de tamaño con microvacuolización citoplásmica. Ocasionales focos necroinflamatórios lobulillares. H.E. |
 2a |  2b |
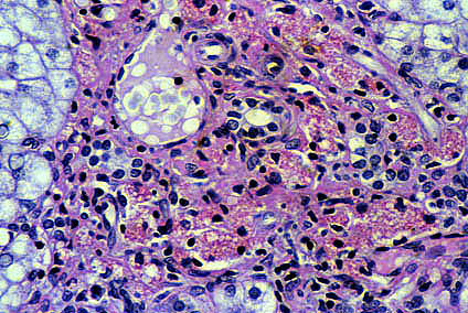
| Fig 2. Macrófagos portáles y células de Kupffer de aspecto espumoso y coloración parda. H.E". |
 |
| Fig 3. Macrófagos portales. Intensa positividad con PAS-diastasa. |
 4a |  4b |
| Fig 4. Los característicos macrófagos portales y células de Kupffer se hacen especialmente patentes en la Orceina de Sikata |
 |
| Fig 5. Fibrosis periportal con formación de puentes porto-portales. Tricrómico de Masson. |
Atiénzar M, Hardisson D, Gutiérrez C*
Copyright © 1998. Reservados todos los derechos.