Comunicación
      Nº 057

IICVHAPp.gif (9537 bytes)

IndiceIndice

ONCOCERCOSIS: PATOLOGIA TROPICAL IMPORTADA

JM Roig, J Velasco, A Gimenez, M Olivar, C Vidal, J Amerigo

Comentarios

[TITULO] [INTRODUCCIÓN] [MATERIAL Y MÉTODOS] [RESULTADOS] [ICONOGRAFÍA] [DISCUSIÓN] [BIBLIOGRAFÍA]

RESULTADOS

DISCUSIÓN


ICONOGRAFÍA

fig. 1
Fig. 1 Dermatitis liquenificada, hiperpigmentada y pruriginosa en extremidad inferior derecha.

 

fig. 2
Fig. 2.Dermatitis liquenificada, hiperpigmentada y pruriginosa en extremidad inferior derecha.

 

fig. 3
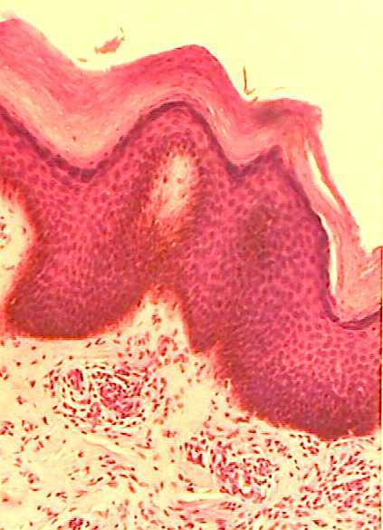
Fig. 3.Epidermis acantósica, fenómeno de paraqueratosis focal e infiltrado inflamatorio linfoplasmocitario perivascular.

 

fig. 4
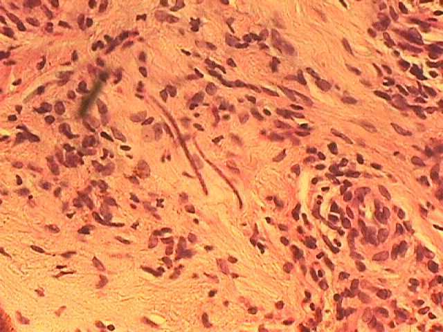
Fig.4. Presencia de esporádicas microfilarias en dermis papilar.

 


[TITULO] [INTRODUCCIÓN] [MATERIAL Y MÉTODOS] [RESULTADOS] [ICONOGRAFÍA] [DISCUSIÓN] [BIBLIOGRAFÍA]

RESULTADOS

DISCUSIÓN


JM Roig, J Velasco, A Gimenez, M Olivar, C Vidal, J Amerigo
Copyright © 1998. Reservados todos los derechos.