Comunicación
      Nº 056

IICVHAPp.gif (9537 bytes)

IndiceIndice

HEPATITIS DE CÉLULAS GIGANTES SINCITIALES: ESTUDIO HISTOLÓGICO E INMUNOHISTOQUÍMICO DE UN CASO.

SYNCITIAL GIANT-CELL HEPATITIS: HISTOLOGICAL AND IMMUNOHISTOCHEMICAL STUDY OF ONE CASE.

S. Ambrosi, M.D., P. Di Zitti, M, M., A. Baiocchini, M. D.

Comentarios

[TITULO] [INTRODUCCIÓN] [CASO CLÍNICO] [RESULTADOS] [ICONOGRAFÍA] [DISCUSIÓN] [BIBLIOGRAFÍA]

RESULTADOS

DISCUSIÓN


ICONOGRAFÍA

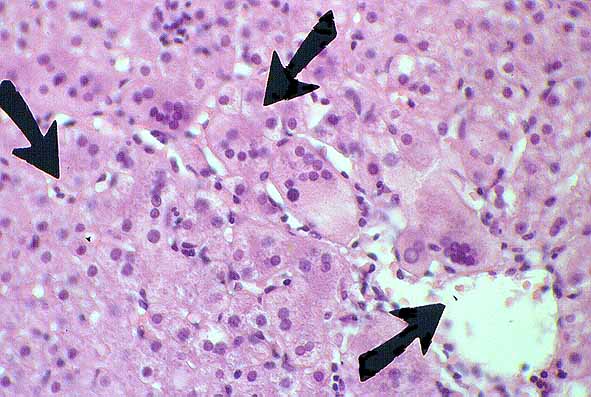
fig. 1
Fig. 1.- Giant cell transformation (arrows *). Multinucleated hepatocytes in a centrilobular area (H/E x 100).

 

fig. 2
Fig. 2.-Immunohistochemical labelling with cytokeratin 8,18. Giant cells show the same reactivity of normal hepatocytes (CAM 5.2 x 400).

 

fig. 3
Fig. 3.- Immunohystochemical labelling with CD 68 showing intense fagocitic activity of giant cells and of Kupffer cells (CD 68 x 400).

 


[TITULO] [INTRODUCCIÓN] [CASO CLÍNICO] [RESULTADOS] [ICONOGRAFÍA] [DISCUSIÓN] [BIBLIOGRAFÍA]

RESULTADOS

DISCUSIÓN


S. Ambrosi, M.D., P. Di Zitti, M, M., A. Baiocchini, M. D.
Copyright © 1998. Reservados todos los derechos.