Comunicación
      Nº 054

IICVHAPp.gif (9537 bytes)

IndiceIndice

Carcinomas renales de células cromófobas putativos: ¿son o no son?

Elena Redondo, Agustín Rey, María de la Vega, Rafael Camacho.

Comentarios

[TITULO] [INTRODUCCIÓN] [MATERIAL Y MÉTODOS] [RESULTADOS] [ICONOGRAFÍA] [DISCUSIÓN] [BIBLIOGRAFÍA]

RESULTADOS

DISCUSIÓN


ICONOGRAFÍA

fig. 1
Figura 1.- Carcinoma de células cromófobas putativo que cumple los criterios adecuados en 4 de los 6 apartados establecidos. Se observan numerosas figuras de mitosis, algunas vacuolas “vacías” citoplásmicas y una anisocariosis relevante. (H&E, 200X)

 

fig. 2
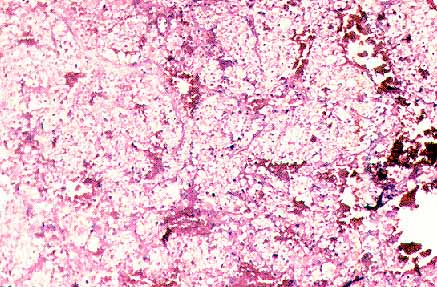
Figura 2.- Comedonecrosis en CCCR putativo. Se trata de un tumor de 16 cm. de diámetro confinado en el riñón. (H&E, 100X)

 

fig. 3
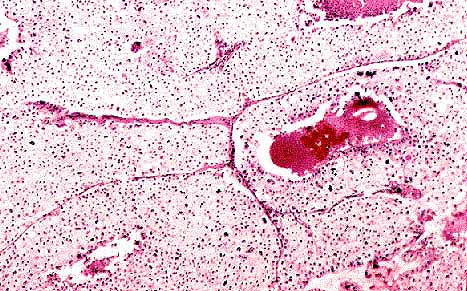
Figura 3.- En este CCCR putativo de 3,6 cm. de diámetro se observa una marcada hemorragia. En las zonas donde la hemorragia se ubica en el centro de los nidos, el tumor ofrece un aire “hipernefroide”. (H&E, 100X).

 


[TITULO] [INTRODUCCIÓN] [MATERIAL Y MÉTODOS] [RESULTADOS] [ICONOGRAFÍA] [DISCUSIÓN] [BIBLIOGRAFÍA]

RESULTADOS

DISCUSIÓN


Elena Redondo, Agustín Rey, María de la Vega, Rafael Camacho.
Copyright © 1998. Reservados todos los derechos.