Comunicación
      Nº 053

IICVHAPp.gif (9537 bytes)

IndiceIndice

FRECUENCIA DE LA METAPLASIA INTESTINAL POR CROMOENDOSCOPIA

González Abad Horacio MD, Ugalde Jorge MD, Landivar Jacinto MD, Alvarez Emilio MD.

Comentarios

[TITULO] [INTRODUCCIÓN] [MATERIAL Y MÉTODOS] [RESULTADOS] [ICONOGRAFÍA] [DISCUSIÓN] [CONCLUSIONES] [BIBLIOGRAFÍA]

RESULTADOS

DISCUSIÓN


ICONOGRAFÍA

fig. 1
Figura 1. Endoscopía gástrica. Metaplaia intestinal Positiva para azul de metileno.

 

fig. 2
Figura 2. Cromoendospía, positivo para metaplasia intestinal.

 

fig. 3
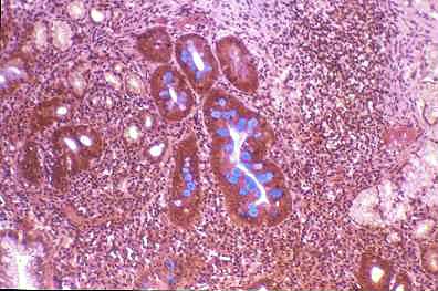
Figura 3. Mucosa gástrica, metaplasia intestinal. Giemsa modificado. 40 X.

 


[TITULO] [INTRODUCCIÓN] [MATERIAL Y MÉTODOS] [RESULTADOS] [ICONOGRAFÍA] [DISCUSIÓN] [CONCLUSIONES] [BIBLIOGRAFÍA]

RESULTADOS

DISCUSIÓN


González Abad Horacio MD, Ugalde Jorge MD, Landivar Jacinto MD, Alvarez Emilio MD.
Copyright © 1998. Reservados todos los derechos.