Comunicación
      Nº 052

IICVHAPp.gif (9537 bytes)

IndiceIndice

Anisakiasis

Olivar Buera, M. Roig Alvaro, J. Velasco Albendea, J. Vidal Puga, C.

Comentarios

[TITULO] [INTRODUCCIÓN] [RESULTADOS] [ICONOGRAFÍA] [DISCUSIÓN] [BIBLIOGRAFÍA]

RESULTADOS

DISCUSIÓN


ICONOGRAFÍA

fig. 1
Fig. 1.- Sección transversal de íleon observándose abscesificación mesentérica (flecha gruesa) y fistulización (flechas delgadas).

 

fig. 2
Fig. 2.- Seccion transversal de larva de anisakis correspondiente a zonas anterior (izquierda) y medial (derecha) con detritus en la luz del tubo digestivo. Cutícula (flecha doble), musculatura (flecha gruesa), cordones laterales (flecha delgada)H-E 100x.

 

fig. 3
Fig. 3.- Región anterior de la larva en la que se aprecian el esófago, cordones laterales(*), glándula excretoria (flecha gruesa pequeña), la musculatura contractil (flecha gruesa grande) y la cutícula. H-E 100x.

 

fig. 4
Fig. 4.- Edema submucoso. H-E 100x.

 

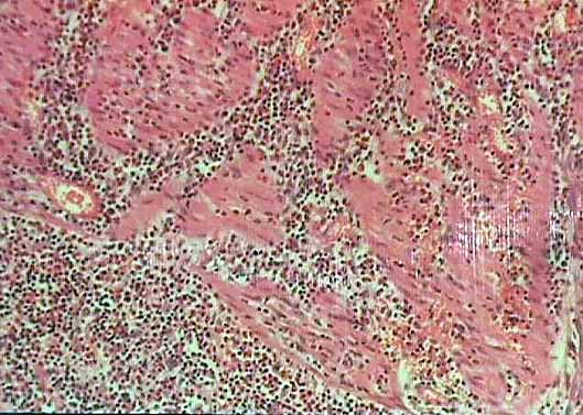
fig. 5
Fig. 5.- Infiltrado inflamatorio rico en eosinófilos en capa muscular. H-E 100x.

 

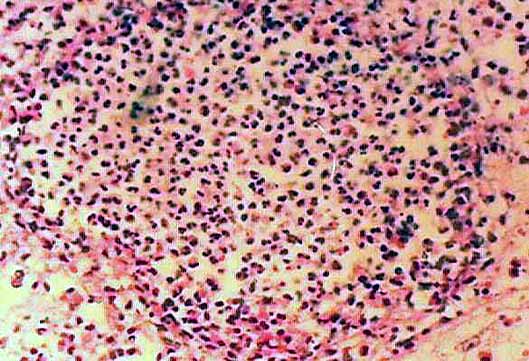
fig. 6
Fig. 6.- Absceso eosinofílico en grasa mesentérica. H-E 250x.

 


[TITULO] [INTRODUCCIÓN] [RESULTADOS] [ICONOGRAFÍA] [DISCUSIÓN] [BIBLIOGRAFÍA]

RESULTADOS

DISCUSIÓN


Olivar Buera, M. Roig Alvaro, J. Velasco Albendea, J. Vidal Puga, C.
Copyright © 1998. Reservados todos los derechos.