Comunicación
      Nº 051

IICVHAPp.gif (9537 bytes)

IndiceIndice

HEMANGIOMA CAPILAR DIFUSO ILEAL

Muñoz, MD; López-Candel, E; Olivar, M; Velasco, J; y Vidal, C.

Comentarios

[TITULO] [INTRODUCCIÓN] [RESULTADOS] [ICONOGRAFÍA] [DISCUSIÓN] [BIBLIOGRAFÍA]

RESULTADOS

DISCUSIÓN


ICONOGRAFÍA

fig. 1
Foto 1: Pieza de ileo con lesión hemática en la serosa.

 

fig. 2
Foto 2: Proliferación de capilares en submucosa (4x) y mucosa ulcerada (20x).

 

fig. 3
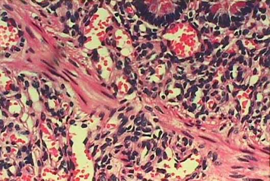
Foto 3: Infiltración parcial de la muscularis mucosae por los capilares neoformados(20x).

 

fig. 4
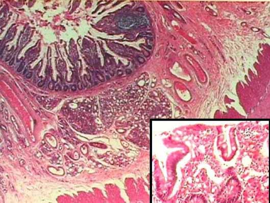
Foto 4: Afectación de serosa y tejido adiposo perivisceral por la proliferación vascular.(10x)

 

fig. 5
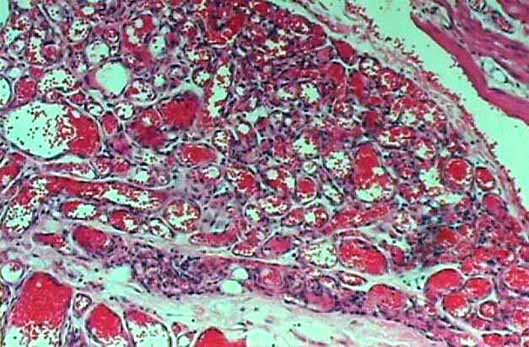
Foto 5: Areas celulares en tejido adiposo perivisceral (20x).

 


[TITULO] [INTRODUCCIÓN] [RESULTADOS] [ICONOGRAFÍA] [DISCUSIÓN] [BIBLIOGRAFÍA]

RESULTADOS

DISCUSIÓN


Muñoz, MD; López-Candel, E; Olivar, M; Velasco, J; y Vidal, C.
Copyright © 1998. Reservados todos los derechos.