Comunicación
      Nº 043

IICVHAPp.gif (9537 bytes)

IndiceIndice

SIGNIFICADO PRONOSTICO DE LA EXPRESION DE PROTEINAS RELACIONADAS
CON LA APOPTOSIS BCL-2 Y BAX EN CARCINOMA DUCTAL INFILTRANTE DE MAMA
CON GANGLIOS LINFATICOS NEGATIVOS

MF Fresno, MJ Pérez del Rio, B. Madrigal, M Veiga, JM Diaz Iglesias(*) y A Herrero

Comentarios

[TITULO] [INTRODUCCIÓN] [MATERIAL Y MÉTODOS] [RESULTADOS] [ICONOGRAFÍA] [DISCUSIÓN] [BIBLIOGRAFÍA]

RESULTADOS

DISCUSIÓN


ICONOGRAFÍA

fig. 1
Figura 1. Inmunotinción positiva para Bcl-2. Positividad citoplasmática.

 

fig. 2
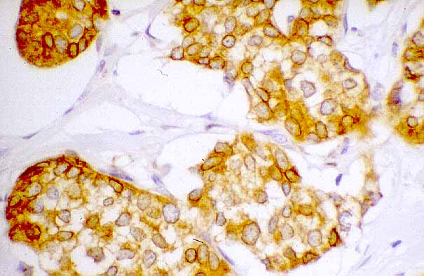
Figura 2. Positividad intensa para Bax.

 

fig. 3
Figura 3. Bcl-2. Sobrevivencia. Kaplan-Meier

 

fig. 4
Figura 4. Bax. Sobrevivencia. Kaplan-Meier

 


[TITULO] [INTRODUCCIÓN] [MATERIAL Y MÉTODOS] [RESULTADOS] [ICONOGRAFÍA] [DISCUSIÓN] [BIBLIOGRAFÍA]

RESULTADOS

DISCUSIÓN


MF Fresno, MJ Pérez del Rio, B. Madrigal, M Veiga, JM Diaz Iglesias(*) y A Herrero
Copyright © 1998. Reservados todos los derechos.