Comunicación
      Nº 042

IICVHAPp.gif (9537 bytes)

IndiceIndice

Hemangioendotelioma epitelioide.
A propósito de un caso.

Fernández R, Castellanos R, Pisani P, Almeida E, Rondán M, López G, Otero M, Pizzarosa C.

Comentarios

[TITULO] [INTRODUCCIÓN] [HISTORIA CLÍNICA] [RESULTADOS] [ICONOGRAFÍA] [COMENTARIOS(I)] [COMENTARIOS(II) ] [BIBLIOGRAFÍA]

RESULTADOS

COMENTARIOS(I)


ICONOGRAFÍA

fig. 1
FOTO 1. Epiplón mayor con numerosos nódulos tumorales de hasta 2 cm de diámetro, algunos con umbilicación central.

 

fig. 2
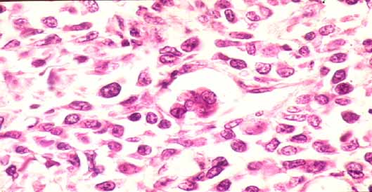
FOTO 2. Microscopía tumoral observándose detalles celulares. (HE 400x).

 

fig. 3
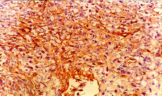
FOTO 3. Técnica de Factor VIII. (40x)

 

Gráfico 1
Gráfico 1. Edad de presentación

 

Gráfico 2
Gráfico 2. Incidencia por sexo

 


[TITULO] [INTRODUCCIÓN] [HISTORIA CLÍNICA] [RESULTADOS] [ICONOGRAFÍA] [COMENTARIOS(I)] [COMENTARIOS(II) ] [BIBLIOGRAFÍA]

RESULTADOS

COMENTARIOS(I)


Fernández R, Castellanos R, Pisani P, Almeida E, Rondán M, López G, Otero M, Pizzarosa C.
Copyright © 1998. Reservados todos los derechos.