Comunicación
      Nº 041

IICVHAPp.gif (9537 bytes)

IndiceIndice

PUNTUACIÓN CITOLÓGICA Y ANÁLISIS DE IMAGEN DE DNA EN LA SUBLASIFICACIÓN DE LESIONES “BORDERLINE” DE LA MAMA EN PUNCIÓN ASPIRACIÓN CON AGUJA FINA.
UN ESTUDIO PROSPECTIVO DE 47 CASOS

CYTOLOGIC SCORE AND DNA-IMAGE ANALYSIS IN THE SUBCLASSIFICATION OF BORDERLINE BREAST LESIONS IN FINE-NEEDLE ASPIRATES.
A PROSPECTIVE STUDY ON 47 CASES.

Giorgio Gherardi, M.D., Cristina Marveggio, B.D., Stefania Rossi, M.D.

Comentarios

[TITULO] [INTRODUCCIÓN] [MATERIAL Y MÉTODOS] [RESULTADOS] [ICONOGRAFÍA] [DISCUSIÓN] [TABLAS] [BIBLIOGRAFÍA]

RESULTADOS

DISCUSIÓN


ICONOGRAFÍA

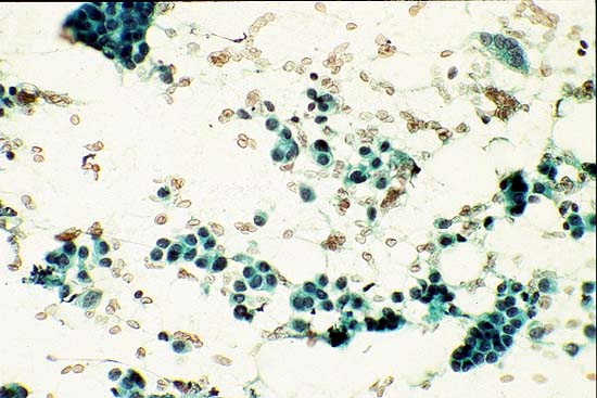
fig. 1a
Figure 1A: Case 12. Palpable florid hyperplasia.
The aspirate cytologic score was 3+3+3+2+2+3=16 (Papanicolaou stain, x500). DNA-image analysis of the aspirate demonstrated a SPD histogram.

 

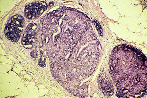
fig. 1b
Figure 1B: Case 12. Palpable florid hyperplasia.
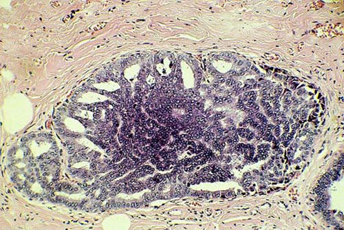
Histologic view of ductal hyperplasia without atypia (Hematoxylin-eosin, x250).

 

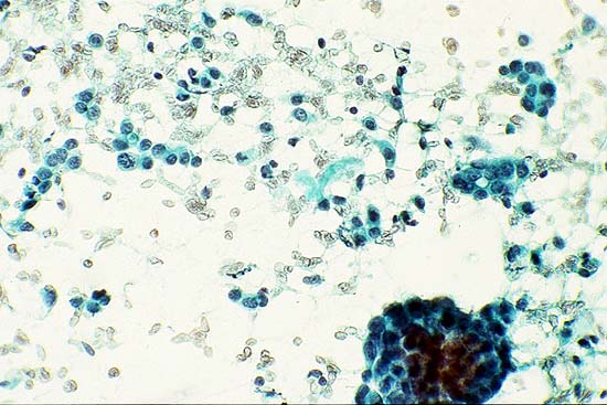
fig. 2a
Figure 2A: Case 3. Palpable 1.8-cm superficial nodule.
The aspirate cytologic score was 3+2+3+2+2+3=15. (Papanicolaou stain, x400). DNA-image analysis of the aspirate demonstrated a SPD histogram.

 

fig. 2b
Figure 2B: Case 3. Palpable 1.8-cm superficial nodule.
Histologic view of ductal hyperplasia with atypia (hematoxylin-eosin, x180).

 

fig. 3a
Figure 3A: Case 18. Palpable 1.2-cm superficial lesion.
The aspirate cytologic score was 3+2+3+3+2+3=16. (Papanicolaou stain, x600). DNA-image analysis demonstrated a aneuploid histogram with DI = 1.42.

 

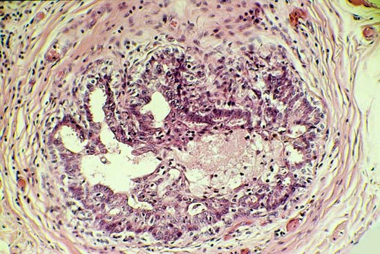
fig. 3b
Figure 3B: Case 18. Palpable 1.2-cm superficial lesion.
Histologic section shows a ductal carcinoma in situ with cribriform and papillary patterns (hematoxylin-eosin x80).

 


[TITULO] [INTRODUCCIÓN] [MATERIAL Y MÉTODOS] [RESULTADOS] [ICONOGRAFÍA] [DISCUSIÓN] [TABLAS] [BIBLIOGRAFÍA]

RESULTADOS

DISCUSIÓN


Giorgio Gherardi, M.D., Cristina Marveggio, B.D., Stefania Rossi, M.D.

Copyright © 1998. Reservados todos los derechos.