Comunicación
      Nº 039

IICVHAPp.gif (9537 bytes)

IndiceIndice

CAMBIOS HISTOLÓGICOS EN LA CISTITIS HEMORRÁGICA INDUCIDA MEDIANTE CICLOFOSFAMIDA EN RATAS SOMETIDAS A UNA ENTEROCISTOPLASTIA

Xavier Farré, Joan Rodó, Manel Solé, Eduardo Martín, Antonio Cardesa.

Comentarios

[TITULO] [INTRODUCCIÓN] [MATERIAL Y MÉTODOS] [RESULTADOS] [ICONOGRAFÍA] [CONCLUSIONES] [BIBLIOGRAFÍA]

RESULTADOS

CONCLUSIONES


ICONOGRAFÍA

fig. 1
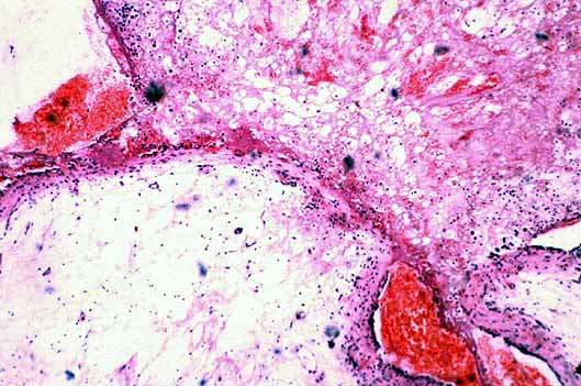
Figura 1.- Vejiga urinaria. Mucosa vesical ulcerada con fibrina en la superficie, edema subepitelial intenso en la pared, congestión y abundante material fibrino-hemorrágico. (x40)

 

fig. 2
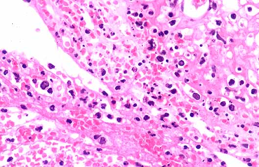
Figura 2.- Vejiga urinaria. Mucosa ulcerada con abundantes polimorfonucleares y presencia de fibrina y hemorragia. (x200)

 

fig. 3
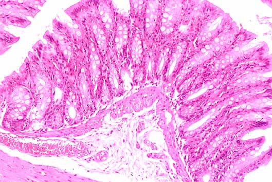
Figura 3.- Colon. Mucosa colónica con glándulas y lámina propia de aspecto normal. Discreta congestión de la submucosa. Escaso material inflamatorio intraluminal. (x40)

 

fig. 4
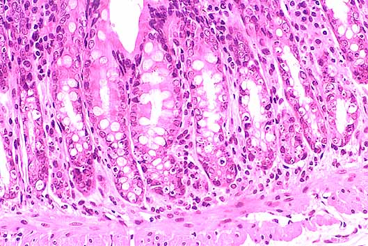
Figura 4.- Colon. Mucosa colónica con abundantes células caliciformes en las glándulas. Lamina propia sin particularidades. (x200)

 

fig. 5
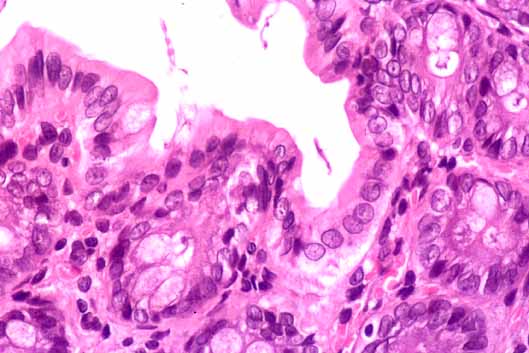
Figura 5.- Colon. Fenómenos de apoptosis en las células de las criptas glandulares de la mucosa. (x100)

 

fig. 6
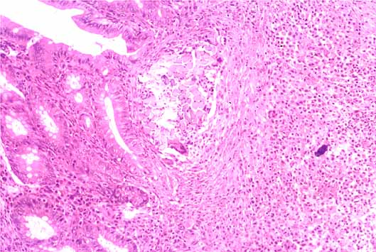
Figura 6.- Zona de anastomosis. Proceso inflamatorio intenso con presencia de material de sutura y algunas células gigantes de tipo "cuerpo extraño". (x40)

 


[TITULO] [INTRODUCCIÓN] [MATERIAL Y MÉTODOS] [RESULTADOS] [ICONOGRAFÍA] [CONCLUSIONES] [BIBLIOGRAFÍA]

RESULTADOS

CONCLUSIONES


Xavier Farré, Joan Rodó, Manel Solé, Eduardo Martín, Antonio Cardesa.
Copyright © 1998. Reservados todos los derechos.