EXPRESIÓN INMUNOHISTOQUÍMICA DE RECEPTORES HORMONALES EN SARCOMAS PRIMARIOS DE HUESO
*HERNANDEZ, P; RAMÍREZ-TORTOSA, C; PEREGRINA, M; ANDÚJAR, M; O´VALLE, F; ANEIROS, J; GARCÍA DEL MORAL, R.

ICONOGRAFÍA
 |
Fig 1.- Positividad nuclear para el receptor de estrógenos en osteosarcoma. (Receptor de estrógenos, estreptavidina-biotina-fosfatasa alcalina, 200x). |
 |
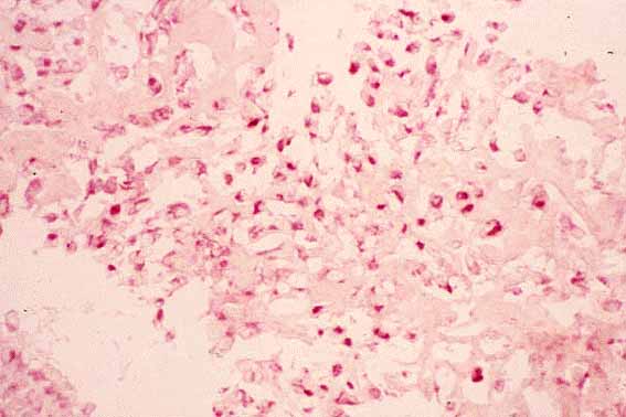
Fig 2.- Positividad nuclear para el receptor de progesterona en condrosarcoma. (Receptor de progesterona, estreptavidina-biotina-fosfatasa alcalina, 200x). |
*HERNANDEZ, P; RAMÍREZ-TORTOSA, C; PEREGRINA, M; ANDÚJAR, M; O´VALLE, F; ANEIROS, J; GARCÍA DEL MORAL, R.
Copyright © 1998. Reservados todos los derechos.