Comunicación
      Nº 030

IICVHAPp.gif (9537 bytes)

IndiceIndice

LINFADENOMA CUTANEO : A PROPOSITO DE UN CASO

M.A TORROBA-CARÓN, J.A.(*); MARTINEZ-ESCRIBANO, E. (**); MARTINEZ-BARBA, J.(*); RAMOS-FREIXÁ, J.(*); BERMEJO LOPEZ y R. RIVERA-DÍAZ (**)

Comentarios

[TITULO] [INTRODUCCIÓN] [CASO CLÍNICO] [ICONOGRAFÍA] [DISCUSIÓN] [BIBLIOGRAFÍA]

CASO CLÍNICO

DISCUSIÓN


ICONOGRAFÍA

fig. 1
Fig. 1 : Aspecto de la lesión de la mejilla.

 

fig. 2
Fig. 2 : Islotes de células tumorales en la dermis, sin conexión epidérmica (H-E x 40)

 

fig. 3
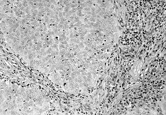
Fig. 3: Lóbulo tumoral con mezcla de células epitelioides claras y linfocitos pequeños y oscuros (H-E x 200).

 


[TITULO] [INTRODUCCIÓN] [CASO CLÍNICO] [ICONOGRAFÍA] [DISCUSIÓN] [BIBLIOGRAFÍA]

CASO CLÍNICO

DISCUSIÓN


M.A TORROBA-CARÓN, J.A.(*); MARTINEZ-ESCRIBANO, E. (**); MARTINEZ-BARBA, J.(*); RAMOS-FREIXÁ, J.(*); BERMEJO LOPEZ y R. RIVERA-DÍAZ (**)
Copyright © 1998. Reservados todos los derechos.