Comunicación
      Nº 029

IICVHAPp.gif (9537 bytes)

IndiceIndice

POLIPO FIBROEPITELIAL GIGANTE DEL URETER

Martínez Barba, E*; Rigabert Montiel, M; López Cubillana, P; Torroba Carón, MªA*; Gómez Gómez, G; Bermejo López, J*

Comentarios

[TITULO] [INTRODUCCIÓN] [CASO CLÍNICO] [ESTUDIO ANATOMOPATOLOGICO] [ICONOGRAFÍA] [DISCUSIÓN] [BIBLIOGRAFÍA]

ESTUDIO ANATOMOPATOLOGICO

DISCUSIÓN


ICONOGRAFÍA

fig. 1
FIGURA 1. Pieza de nefroureterectomía en la que se observa a nivel de uréter superior una tumoración constituida por un conglomerado de masas polipoides que asemejan un “ racimo de uvas ”, unidas a la pared ureteral por dos delgados pedículos.

 

fig. 2
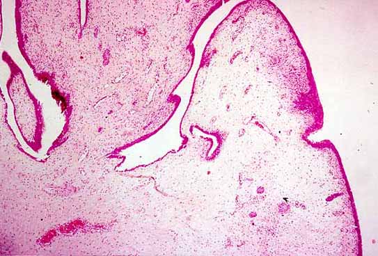
FIGURA 2. Detalle de la tumoración que muestra un núcleo central amplio y ramificado, constituido por un tejido fibrovascular edematoso y tapizado por epitelio transicional (H/E x40 ).

 

fig. 3
FIGURA 3. Inmunotinción con actina músculo específica que muestra positividad a nivel de paredes vasculares así como en los fascículos de músculo liso estromales (PAP x40).

 

fig. 4
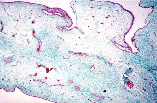
FIGURA 4. El tumor se encontraba revestido por urotelio aunque focalmente se encontraba desprovisto de él (T. de Masson x40).

 


[TITULO] [INTRODUCCIÓN] [CASO CLÍNICO] [ESTUDIO ANATOMOPATOLOGICO] [ICONOGRAFÍA] [DISCUSIÓN] [BIBLIOGRAFÍA]

ESTUDIO ANATOMOPATOLOGICO

DISCUSIÓN


Martínez Barba, E*; Rigabert Montiel, M; López Cubillana, P; Torroba Carón, MªA*; Gómez Gómez, G; Bermejo López, J*

Copyright © 1998. Reservados todos los derechos.