Comunicación
      Nº 028

IICVHAPp.gif (9537 bytes)

IndiceIndice

Linfoma no Hodgkin B de célula grande difuso, originado en células del donante, en paciente sometido a doble trasplante renal y hepático.

Alvarez Garcia, Augusto. Sanchez Blas, Mercedes. Arnal Monreal, Francisco. Gomez Gutierrez, Manuel.

Comentarios

[TITULO] [ Material y Métodos] [ Resultados] [ Iconografía] [ Discusión] [ Bibliografía]

 Resultados

 Discusión


Iconografía

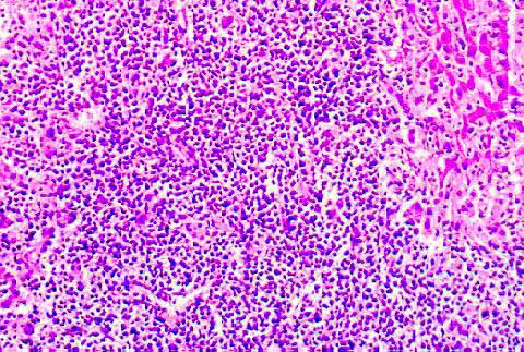
fig. 1 fig. 2
Figura 1.- Corte del hígado a nivel del hilio donde se observa una tumoración de coloración blanco grisácea con zonas de necrosis. Figura 2.- Infiltrado difuso por células linfoides introduciéndose en el parenquima hepático (H-E x 100).
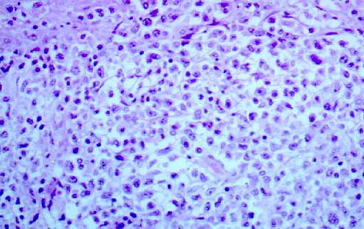
fig. 3 fig. 4
Figura 3.- Linfocitos grandes con nucleolos prominentes y focos de necrosis (H-E x 200). Figura 4.- Estudio por PCR de regiones hipervaribles (MCT 118 y YNZ 22 locus). Línea M: marcador DNA Phi 174 HaeIII. Linea Pa : DNA sangre periférica del enfermo trasplantado. Línea Do: DNA sangre periférica del donante. Línea Ly : DNA del tejido tumoral. El patrón de bandas de la mayor parte del tejido correspondiente al linfoma, muestra un patrón similar al DNA del donante, con un componente mínimo de células circulantes similar al DNA del receptor.


[TITULO] [ Material y Métodos] [ Resultados] [ Iconografía] [ Discusión] [ Bibliografía]

 Resultados

 Discusión


Alvarez Garcia, Augusto. Sanchez Blas, Mercedes. Arnal Monreal, Francisco. Gomez Gutierrez, Manuel.
Copyright © 1998. Reservados todos los derechos.