Linfomas no Hodgkin desarrollados en pacientes sometidos a trasplante de órganos sólidos.
Sanchez Blas, Mercedes. Alvarez García, Augusto. Vazquez Martul, Eduardo.

ICONOGRAFÍA
 |
|
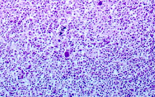
Figura 1. |
 |
|
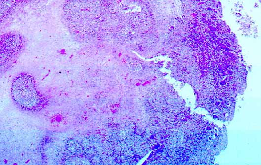
Figura 2. |
 |
|
Figura 3. |
 |
|
Figura 4. |
Sanchez Blas, Mercedes. Alvarez García, Augusto. Vazquez Martul, Eduardo.
Copyright © 1998. Reservados todos los derechos.