Comunicación
      Nº 026

IICVHAPp.gif (9537 bytes)

IndiceIndice

USO DEL MICROONDAS EN LA DETECCION DE HELICOBACTER PYLORI EN BIOPSIAS GASTRICAS.

Dr. Jorge Ugalde P.; Dra. Rocío Murillo; Tec. Med. Fabiola Carvajal; Tec. Med. Julia Amón M.

Comentarios

[TITULO] [INTRODUCCIÓN] [MATERIAL Y MÉTODOS] [RESULTADOS] [ICONOGRAFÍA] [COMENTARIO] [BIBLIOGRAFÍA]

RESULTADOS

COMENTARIO


ICONOGRAFÍA

Fig 1
Figura 1.-.- Horno de microonda.

 

Fig 2
Figura 2.-.- Cubetas de tinción.

 

Fig 3
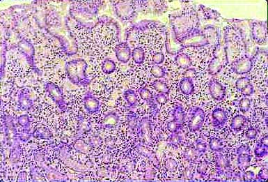
Figura 3.- Gastritis antral activa. H.E.

 

Fig 4
Figura 4.- Mucosa gástrica, teñida con Giemsa en Microonda. Presencia de H. Pylori en el borde apical celular de color azul.

 


[TITULO] [INTRODUCCIÓN] [MATERIAL Y MÉTODOS] [RESULTADOS] [ICONOGRAFÍA] [COMENTARIO] [BIBLIOGRAFÍA]

RESULTADOS

COMENTARIO


Dr. Jorge Ugalde P.; Dra. Rocío Murillo; Tec. Med. Fabiola Carvajal; Tec. Med. Julia Amón M.
Copyright © 1998. Reservados todos los derechos.