Comunicación
      Nº 025

IICVHAPp.gif (9537 bytes)

IndiceIndice

Morfologia de las glandulas paratiroides.
A propósito de estudio de 29 lesiones en 27 pacientes

Dr. Agustin Paramio Ruibal

Comentarios

[TITULO] [INTRODUCCIÓN] [MATERIAL Y METODO] [RESULTADOS] [ICONOGRAFIA] [ICONOGRAFIA-2] [COMENTARIOS] [CONCLUSIONES] [BIBLIOGRAFIA]

ICONOGRAFIA

COMENTARIOS


ICONOGRAFIA-2

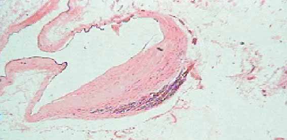
Figura 1
Fig. 1.- Corte histológico de quiste simple de la g. paratiroides, con restos glandulares en su pared. Nótese el epitelio simple cubico de revestimiento HE x 40.

 

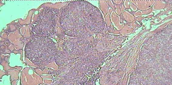
Figura 2
Fig. 2.- Aspecto microscópico del adenoma (Caso 7) de celulas principales, patrón sólido. Notese el anillo de tejido paratiroideo normal en el tejido fibroso capsular. HE x 100

 

Figura 3
Fig. 3.- Banda ancha de fibrosis con g. paratiroides incluida en su espesor y carcinoma adyacente. HE x 40

 

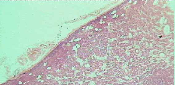
Figura 4
Fig. 4.- Infiltración del tejido tiroideo adyacente por carcinoma de paratiroides. HE x 40

 

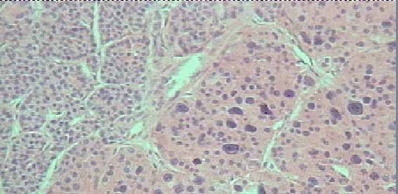
Figura 5
Fig. 5.- Aspecto microscópico de la periferia de una g. paratiroides hiperplásica. Notese el remanente grado intersticial subcapsular. HE x 40

 

Figura 6
Fig. 6.- Imagen histológica a mayor aumento de una hiperplasia, donde se identican dos tipos celulares: principales y oxifílicas, este último con marcada anisocariosis. HE x 200.

 


[TITULO] [INTRODUCCIÓN] [MATERIAL Y METODO] [RESULTADOS] [ICONOGRAFIA] [ICONOGRAFIA-2] [COMENTARIOS] [CONCLUSIONES] [BIBLIOGRAFIA]

ICONOGRAFIA

COMENTARIOS


Dr. Agustin Paramio Ruibal
Copyright © 1998. Reservados todos los derechos.