Comunicación
      Nº 020

IICVHAPp.gif (9537 bytes)

IndiceIndice

ADENOCARCINOMA PRIMARIO SINCRONICO MULTIPLE DE ILEON.

DRES.LUIS SANTOS SPITALE, DANIEL JESUS PICCINNI.

Comentarios

[TITULO] [INTRODUCCIÓN] [CASO CLÍNICO] [ICONOGRAFÍA] [DISCUSIÓN] [BIBLIOGRAFÍA]

CASO CLÍNICO

DISCUSIÓN


ICONOGRAFÍA

fig. 1
Figura 1.Pieza quirúrgica que muestra los crecimientos tumorales.

 

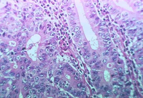
fig. 2
Figura 2.Microfotografía 1.

 

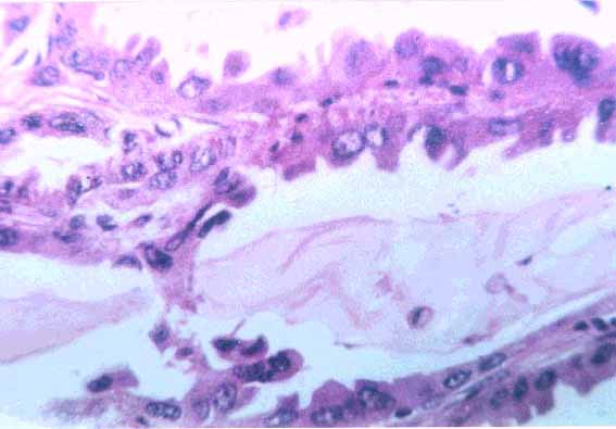
fig. 3
Figura 3. Microfotografía 2. Se observan algunos sectores con mucosecreción

 


[TITULO] [INTRODUCCIÓN] [CASO CLÍNICO] [ICONOGRAFÍA] [DISCUSIÓN] [BIBLIOGRAFÍA]

CASO CLÍNICO

DISCUSIÓN


DRES.LUIS SANTOS SPITALE, DANIEL JESUS PICCINNI.
Copyright © 1998. Reservados todos los derechos.