Comunicación
      Nº 019

IICVHAPp.gif (9537 bytes)

IndiceIndice

TUMOR DE CELULAS GIGANTES DE ROTULA

DRES.LUIS SANTOS SPITALE, DANIEL JESUS PICCINNI

Comentarios

[TITULO] [INTRODUCCIÓN] [CASOS CLÍNICOS] [COMENTARIOS] [ICONOGRAFÍA] [BIBLIOGRAFÍA]

COMENTARIOS

TITULO


ICONOGRAFÍA

fig. 1
Figura 1. Pieza quirúrgica del tumor.

 

fig. 2
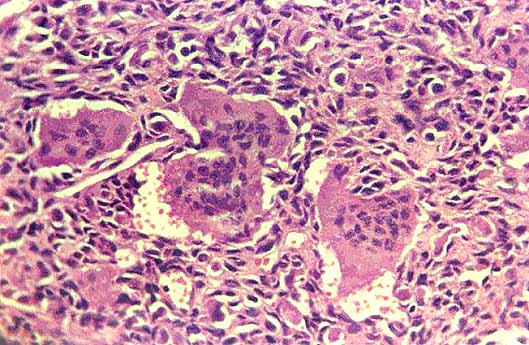
Figura 2. Microfotografía 1.

 

fig. 3
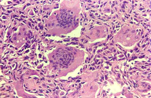
Figura 3. Microfotografía 2.

 


[TITULO] [INTRODUCCIÓN] [CASOS CLÍNICOS] [COMENTARIOS] [ICONOGRAFÍA] [BIBLIOGRAFÍA]

COMENTARIOS

TITULO


DRES.LUIS SANTOS SPITALE, DANIEL JESUS PICCINNI
Copyright © 1998. Reservados todos los derechos.