Comunicación
      Nº 018

IICVHAPp.gif (9537 bytes)

IndiceIndice

FIBROMATOSIS MAMARIA SIMULANDO
CARCINOMA INVASOR

DRES.PICCINNI DANIEL J. , SPITALE LUIS SANTOS.

Comentarios

[TITULO] [INTRODUCCIÓN] [CASOS CLÍNICOS] [RESULTADOS] [ICONOGRAFÍA] [DISCUSIÓN] [BIBLIOGRAFÍA]

RESULTADOS

DISCUSIÓN


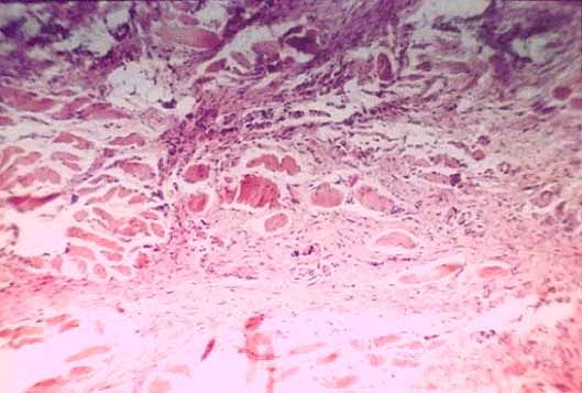
ICONOGRAFÍA

fig.1
Figura 1. Caso N°1.

 

fig.2
Figura 2. Pieza macroscópica.

 

fig.3
Figura 3. Caso N°2.

 

fig.4
Figura 4. Bandas de tejido colageno.

 

fig.5
Figura 5. Proliferación fibroblastica sin atipia.

 


[TITULO] [INTRODUCCIÓN] [CASOS CLÍNICOS] [RESULTADOS] [ICONOGRAFÍA] [DISCUSIÓN] [BIBLIOGRAFÍA]

RESULTADOS

DISCUSIÓN


DRES.PICCINNI DANIEL J. , SPITALE LUIS SANTOS.
Copyright © 1998. Reservados todos los derechos.