Comunicación
      Nº 016

IICVHAPp.gif (9537 bytes)

IndiceIndice

Carcinoma adenoescamoso in situ de cervix, asociado a carcinoma escamoso in situ e hiperplasia microglandular.

José-Santos Salas Valién, María-Paz Reyero Alvarez*, María-Asunción González Morán, Elena García Lagarto y María-Teresa Ribas Ariño.

Comentarios

[TITULO] [INTRODUCCIÓN] [MATERIAL Y MÉTODOS ] [RESULTADOS] [ICONOGRAFÍA] [DISCUSIÓN] [BIBLIOGRAFÍA]

RESULTADOS

DISCUSIÓN


ICONOGRAFÍA

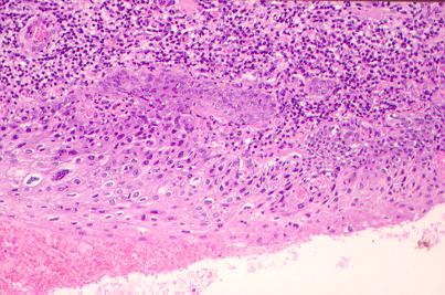
fig. 1
Fig. 1.- Zona de carcinoma in situ de células escamosas con cambios koilociticos. (H-E.).

 

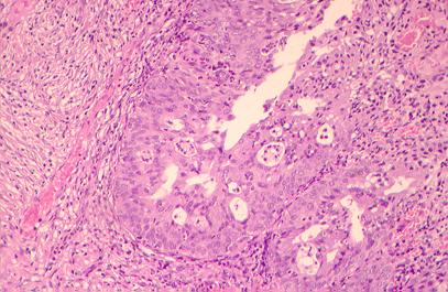
fig. 2
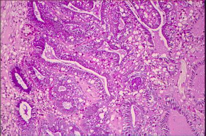
Fig. 2.- Carcinoma adenoescamoso in situ(H-E.).

 

fig. 3
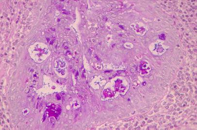
Fig. 3.- Carcinoma adenoescamoso in situ. (Azul Alcian P.A.S.).

 

fig. 4
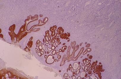
Fig. 4.- Intensa positividad para queratina. (AE1-AE3).

 

fig. 5
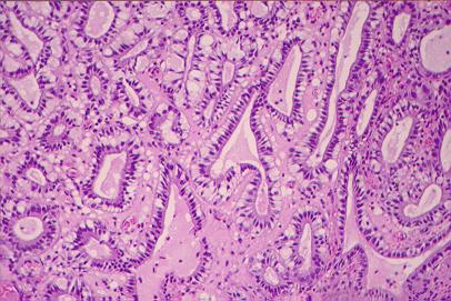
Fig. 5.- Zona de hiperplasia microglandular (H-E.).

 

fig. 6
Fig. 6.- Hiperplasia microglandular (Azul Alcian P.A.S.).

 


[TITULO] [INTRODUCCIÓN] [MATERIAL Y MÉTODOS ] [RESULTADOS] [ICONOGRAFÍA] [DISCUSIÓN] [BIBLIOGRAFÍA]

RESULTADOS

DISCUSIÓN


José-Santos Salas Valién, María-Paz Reyero Alvarez*, María-Asunción González Morán, Elena García Lagarto y María-Teresa Ribas Ariño.
Copyright © 1998. Reservados todos los derechos.