Comunicación
      Nº 015

IICVHAPp.gif (9537 bytes)

IndiceIndice

TUMOR DE CELULAS GRANULARES DE LA PIEL DE LA REGION MAMARIA

Viciana Martinez-Lage, MJ*; Cruz Cruz,MD*; Jiménez Cortés, MC*; Sanchez Sanchez,JC**; Gómez Hernandez,T***; Jiménez Linde,D*

Comentarios

[TITULO] [INTRODUCCIÓN] [MATERIAL Y MÉTODOS] [RESULTADOS] [ICONOGRAFÍA] [DISCUSIÓN] [BIBLIOGRAFÍA]

RESULTADOS

DISCUSIÓN


ICONOGRAFÍA

fig. 1
Fig.1:Imagen mamográfica con nódulo de alta densidad de bordes mal definidos.

 

fig. 2
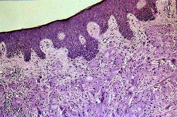
Fig.2: Tumor de células granulares en estrecha relacción con la epidermis (H-E, x 400).

 

fig. 3
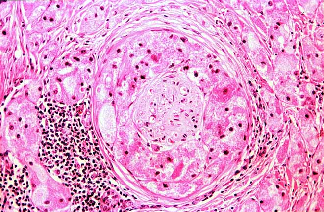
Fig.3: Grupos de células granulares englobando un pequeño nervio (H-E, x 400).

 

fig. 4
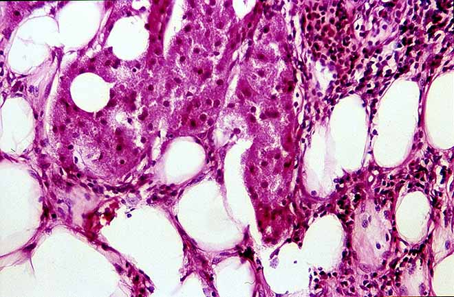
Fig 4: Carácter infiltrativo del tumor de células granulares en el tejido celular subcutáneo (H-E, x 400).

 

fig. 5
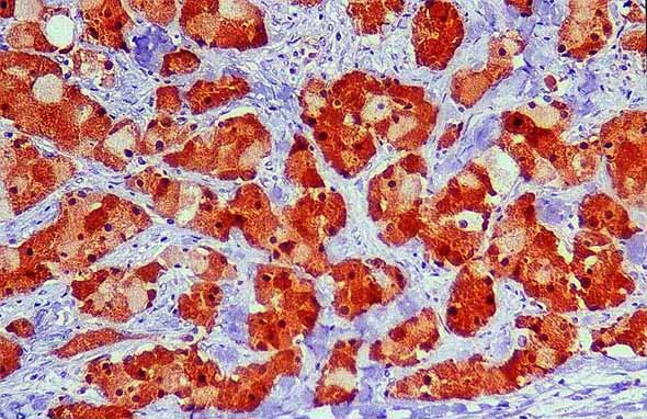
Fig.5: Intensa positividad a la proteina-S-100 en los nidos tumorales (x 200)

 

fig. 6
Fig.6: Núcleos redondos y uniformes con frecuencia desnudos. Célula con amplio citoplasma ligeramente granular al igual que el fondo del frotis (Papanicolaou, x 400).

 


[TITULO] [INTRODUCCIÓN] [MATERIAL Y MÉTODOS] [RESULTADOS] [ICONOGRAFÍA] [DISCUSIÓN] [BIBLIOGRAFÍA]

RESULTADOS

DISCUSIÓN


Viciana Martinez-Lage, MJ*; Cruz Cruz,MD*; Jiménez Cortés, MC*; Sanchez Sanchez,JC**; Gómez Hernandez,T***; Jiménez Linde,D*
Copyright © 1998. Reservados todos los derechos.