Comunicación
      Nº 014

IICVHAPp.gif (9537 bytes)

IndiceIndice

PATOLOGIA DE LOS EXPLANTES DE BIOPROTESIS VALVULARES EN POSICION AORTICA DE MAS DE 4 AÑOS DE IMPLANTACION

SAMBUELLI, Ruben; GOMEZ, Silvia; ARMANDO, Raúl; GUIDI, Andrés; CONCI, Diego Ignacio; ROCA, Federico.

Comentarios

[TITULO] [INTRODUCCIÓN] [MATERIAL Y MÉTODOS] [RESULTADOS] [ICONOGRAFÍA] [ ICONOGRAFIA-2] [ICONOGRAFÍA-3] [DISCUSIÓN] [BIBLIOGRAFÍA]

 ICONOGRAFIA-2

DISCUSIÓN


ICONOGRAFÍA-3

fig. 13
Fig.13- Degeneración estructural, Masson, 25x

 

fig. 14
Fig.14- Calcificaciones y degeneración estructural, Masson, 16x

 

fig. 15
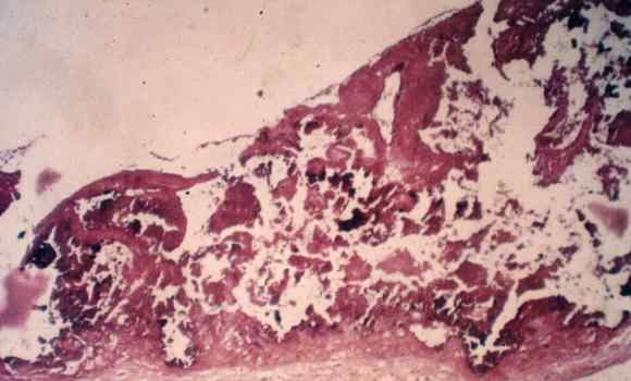
Fig.15- Calcificaciones y degeneración estructural, H+E, 3.5x

 

fig. 16
Fig.16- Degeneración estructural, hemorragias antiguas, H+E, 3.5x

 

fig. 17
Fig.17- Infección con colonias de gérmenes, fibrina y leucocitos sobre prótesis, H+E 3.5x

 


[TITULO] [INTRODUCCIÓN] [MATERIAL Y MÉTODOS] [RESULTADOS] [ICONOGRAFÍA] [ ICONOGRAFIA-2] [ICONOGRAFÍA-3] [DISCUSIÓN] [BIBLIOGRAFÍA]

 ICONOGRAFIA-2

DISCUSIÓN


SAMBUELLI, Ruben; GOMEZ, Silvia; ARMANDO, Raúl; GUIDI, Andrés; CONCI, Diego Ignacio; ROCA, Federico.
Copyright © 1998. Reservados todos los derechos.