Comunicación
      Nº 009

IICVHAPp.gif (9537 bytes)

IndiceIndice

Neumonía lipoidea exógena y carcinoma bronquioloalveolar.
A propósito de un falso positivo citológico.

Cruz Cruz, MD; Nogales Fernández, F; Prieto, C; Merino, M; Alonso, J; Garcia Martínez, E; Gómez Jiménez, J.

Comentarios

[TITULO] [INTRODUCCIÓN] [MATERIAL Y MÉTODOS] [RESULTADOS] [ICONOGRAFÍA] [DISCUSIÓN] [BIBLIOGRAFÍA]

RESULTADOS

DISCUSIÓN


ICONOGRAFÍA

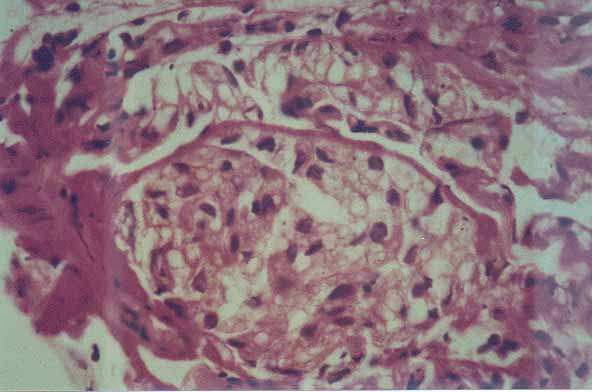
fig. 1
Figura 1. Se puede observar mas detalladamente las vacuolas citoplasmáticas,ademas de la hipercromasia de sus nucleos.

 

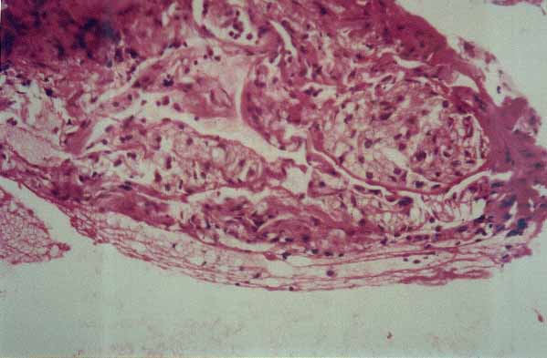
fig. 2
Figura 2. Se puede observar las luces alveolares ocupadas por celulas macrofágicas de citoplasma amplio y multivacuolado.

 

fig. 3
Figura 3. Se puede observar amontonamiento celular y manifiesta vacuolización citoplasmática.

 

fig. 4
Figura 4. Se puede observar las luces alveolares ocupadas por celulas macrofágicas de citoplasma amplio y multivacuolado. .

 


[TITULO] [INTRODUCCIÓN] [MATERIAL Y MÉTODOS] [RESULTADOS] [ICONOGRAFÍA] [DISCUSIÓN] [BIBLIOGRAFÍA]

RESULTADOS

DISCUSIÓN


Cruz Cruz, MD; Nogales Fernández, F; Prieto, C; Merino, M; Alonso, J; Garcia Martínez, E; Gómez Jiménez, J.
Copyright © 1998. Reservados todos los derechos.