Comunicación N°: 008 Indice de
Comunicaciones

Sistemas de difusión de información audiovisual en Internet:

Aplicaciones en Anatomía Patológica


Luis Alfaro Ferreres;   María José Roca Estellés
Formatos Gráficos

Formato gráfico GIF


Formato Gráfico JPG

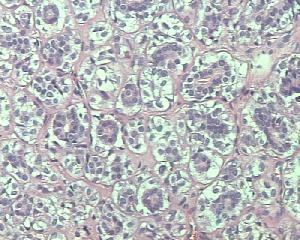
El formato de imagenes JPG ó JPEG (Joint Photographics Expert Group File Interchange Format) permite utilizar hasta 16.777.216 colores (24 bits). Es el formato más apropiado para comprimir imágenes fotográficas con gran detalle. Las tasas de compresión son muy superiores a las que se obtienen con el formato GIF. Sin embargo, se trata de compresión con pérdida de información, es decir al descomprimirlo la imágen obtenida no es exactamente igual al original inicial. El nivel de compresión se puede seleccionar en una escala desde 1 a 99, siendo la compresión 1 la de mínima perdida de información y 99 la compresión más elevada y con mayor pérdida de información. En el siguiente ejemplo (Carcinoma epi-mioepitelial parotídeo) se muestran los distintos niveles de compresión a partir de un original del mismo tamaño, que en formato BMP ocupa (216.054 bytes)


JPG 10 JPG 25
Compresión 10 (41.612 bytes) Compresión 25 (25.863 bytes)
JPG 50 JPG 75
Compresión 50 (17.520 bytes) Compresión 75 (11.517 bytes)
JPG 82 JPG 90
Compresión 82 (9.471 bytes) Compresión 90 (6.533 bytes)




Indice