Comunicación
      Nº 008

IICVHAPp.gif (9537 bytes)

IndiceIndice

Sistemas de difusión de información audiovisual en Internet:

Aplicaciones en Anatomía Patológica


Luis Alfaro Ferreres;   María José Roca Estellés

Comentarios

Inicio

Formato gráficos JPG


Formatos Gráficos

Exiten dos formas de almacenar en formato digital la información gráfica. En primer lugar las imágenes llamadas vectoriales, en las cuales cada elemento de la imagen, con su posición, tamaño y características queda definido por una función matemática. Este tipo de imágenes permite desplazar, redimensionar o variar las características de cada elemento sin afectar al resto de la imagen. Son útiles para representar símbolos, esquemas o dibujos lineales.
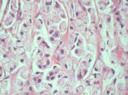
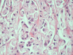
Para las imágenes fotográficas, se emplean los formatos digitales llamados mapas de bits. En ellos la imagen se divide en pequeños puntos (pixels) y cada uno de ellos almacena por separado la información referida al color exacto de ese punto. Para representar 2 colores hace falta un único bit de información (blanco o negro); para representar 256 colores son necesarios 8 bit por cada pixel (28). Con 24 bits por pixel se pueden representar más de 16 millones de colores (es el llamado color real). Cuantos más colores empleemos en la definición de cada pixel, el tamaño global de la imagen será mayor. Asi para una imagen de 800x600 pixels representada en 2 colores, el tamaño de la misma será 480.000 bits ó lo que es lo mismo 60.000 Bytes ó 58,5 Kb (1 Byte=8 bits; 1 Kilobyte= 1.024 Bytes). Del mismo modo esa misma imagen con 16 millones de colores ocupará 800x600x24 bits = 11.520.000 bits (1.440.000 bytes ó 1.406 Kb ó 1,37 Mb). El prototipo de este tipo de ficheros gráficos es el llamado BMP, empleado en los sistemas operativos windows y OS/2. Estos ficheros no tienen aplicación práctica en internet dado el gran tamaño que ocupan las imágenes almacenadas en ellos. Para resolver este problema se recurre a métodos de compresión de los ficheros bitmap. Los dos tipos que en la actualidad tienen más amplia difusión son los formatos GIF, que manejan imagenes comprimidas sin pérdida de información y con un máximo de 256 colores; y JPG, que emplean imagenes de 16 millones de colores pero con compresión con perdida de información. A continuación se reproducen dos ejemplos de imágenes en cada uno de estos formatos:


GIF  JPG
Carcinoma de células en anillo de sello
GIF (44.956 bytes)
Carcinoma de células en anillo de sello
JPG (8.218 bytes)
GIF  JPG
GIF (5.223 bytes) JPG (18.173 bytes)


Las diferencias son fácilmente apreciables. En el primer caso de una imagen micróscopica donde existen múltiples tonos diferentes dentro de un espectro reducido de colores, JPG obtiene imagenes de mucho menor tamaño con calidad similar.
En el segundo caso donde sólo se emplean 4 colores, GIF muestra una imagen sin perdida de calidad que representa únicamente los 4 colores empleados. JPG emplea un algoritmo de compresión que está representando 16 milones de colores en una imagen donde solo hay 4. A pesar de aumentar el tamaño del fichero para evitar pérdida de calidad, en este caso el resultado es muy inferior al del fichero GIF.




Indice