 |
 |
|
Aspecto macroscópico del tercio medio apendicular mostraando un engrosamiento difuso de la pared. |
Aspecto histológico del tumor mostrando la marcada proliferación de células en anillo de sello.(H-E 250X) |
 |
 |
|
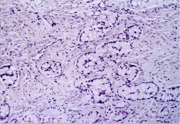
Infiltración transmural de la pared apendicular (H-E 100X) |
Intensa positividad citoplásmica con la tinción de PAS (400x) |
 |
 |
|
Citoqueratina |
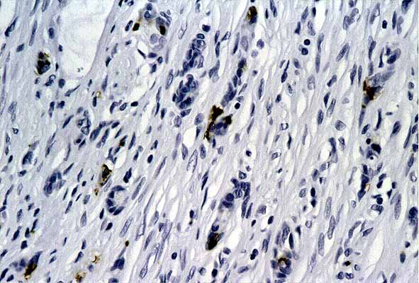
Tinción de cromogranina mostrando una marcada positividad en algunas células tumorales que no presentan morfología en anillo de sello. |