Congreso Virtual sobre Anatomía Patológica


Direccion de contacto
fiogf49gjkf0d
Oscar Marin. Servicio de Anatomía Patológica, Hospital Pablo Soria de Jujuy-Argentina. Guemes 1345 (4600). S.S. de Jujuy. omarin100@infovia.com.ar

LINFOMA DE CELULAS T DEL ADULTO (ATL) Ganglionar y Cutáneo asociado a Histoplasmosis.

Oscar Marin*, Carlos Remondegui**
* Servicio de Anatomía Patológica, Hospital Pablo Soria de Jujuy-Argentina ARGENTINA
** Sala de Infectología, Hospital "San Roque" de Jujuy-Argentina ARGENTINA

Resumen

fiogf49gjkf0d

INTRODUCCION: En la provincia de Jujuy se encuentran áreas geográficas donde el HTLV-1 es prevalente, tanto en bancos de sangre, embarazadas y lactantes y pacientes con enfermedades de transmisión sexual, registrándose además casos de paraparesia espástica tropical, linfomas de tipo ATL y otras patologías relacionadas a HTLV-1.

PRESENTACION DEL CASO: mujer de raza Aymara , de de 49 años, con adenomegalias submandibulares y cervicales, lesiones cutáneas y HTLV-1 (+) en suero. LDH, calcemia y RX tórax: normales. Se realiza biopsias de piel y ganglio linfático:
RESULTADOS: la piel presenta infiltración linfomatosa epidermotropa, compuesta por linfocitos pequeños que alternan con formas pleomórficas. La biopsia de ganglio linfático presenta celularidad linfoide pleomorfa CD3+, CD8-, CD20-  con abundantes microformas de Histoplasma Capsulatum, confirmado por cultivo.
DISCUSION: los ATL generalmente presentan complicación con criptococos, Pneumocystis cariini y citomegalovirus. Esta es la primera vez que observamos su asociación a histoplasmosis.

 

Introduccion    

fiogf49gjkf0d
        En la provincia de Jujuy se encuentran áreas geográficas donde el HTLV-1 es prevalente, tanto en bancos de sangre, embarazadas y lactantes y pacientes con enfermedades de transmisión sexual, registrándose además casos de paraparesia espástica tropical, linfomas de tipo ATL y otras patologías relacionadas a HTLV-1.
        HTLV-1 (Human T-cell Leukemia/Lymphoma Virus type-I) es un retrovirus que se ha determinado es el agente causal del ATLL (Adult T-cell Lymphoma/Leukemia y Paraparesia Espástica Tropical (TSP). Estudios moleculares recientes han demostrado que ATLL es inducido por efectos oncogénicos de la proteína p40Tax, relacionada a ala región PX del ADN proviral de HTLV-I.
        La existencia de áreas endémicas para HTLV-I en Asia, Africa y Sud-América ha sido bien documentada, tanto en nativos de Panamá, como población negra de Colombia y Brasil, Chile, Perú, Bolivia y Argentina, donde población de tipo Amerindia en Jujuy (Noroeste de Argentina) se registra la mayor prevalencia. En Argentina la prevalencia de HTLV-I en bancos de sangre es de 0.9%, mientras que en Jujuy es de 2.0 % en bancos de sangre, 3,5 % en embarazadas y 5 % en enfermedades de transmisiñonsexual.
        En Jujuy la incidencia de linfomas malignos es elevada superada solo por el carcinoma de cuello uterino. Entre los linfomas malignos se registra elevado porcentaje tanto de linfomas T (30 %) como de linfomas extraganglionares (60 %).
        Nos interesa presentar un caso de Linfoma cutáneo de células T, en paciente HTLV-I positivo, procedente de zona endémica para este retrovirus y asociado a criptococosis.    

 

Material y Métodos    

fiogf49gjkf0d
PRESENTACION DEL CASO:
 
          Mujer de raza Aymara , de 49 años, con adenomegalias submandibulares y cervicales, lesiones cutáneas de tipo papulares múltiples.
          Se realizó estudio de HTLV-1 en suero, mediante test de PHA y confirmación con Westen Blot. Los estudios de LDH, calcemia y RX tórax: normales. Se realiza biopsias de piel y ganglio linfático.
         

 

Resultados    

fiogf49gjkf0d
RESULTADOS:
 
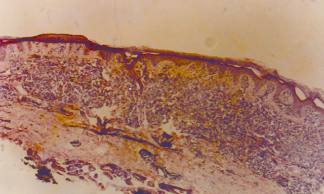
          La biospia de piel presenta infiltración linfocitaria de caracter epidermotropa, compuesta por linfocitos pequeños que alternan con formas pleomórficas. Se observa exocitosis y formación de lesiones similares a los Pesudoabcesos de Pautrier, observables en los casos de Micosis Fungoides. Realiándose el diagnóstico de Linfoma T cutáneo de tipo ATL. 
         La biopsia de ganglio linfático presenta celularidad linfoide pleomorfa CD3+, CD8-, CD20-  con abundantes microformas PAS+ sugerentes de Histoplasma Capsulatum, confirmado por cultivo, en el laboratorio de Microbiología del Ministerio de Salud Pública de Jujuy.

 

Fig.1: ATLL, Biopsia Cutánea. H-E - <div style=fiogf49gjkf0dFormación de lesiones tipo Pseudo-abcesos de Pautrier.">
Fig.1: ATLL, Biopsia Cutánea. H-E -

fiogf49gjkf0d
Formación de lesiones tipo Pseudo-abcesos de Pautrier.


Fig.2: ATLL, Biopsia Cutánea - <div style=fiogf49gjkf0d">
Fig.2: ATLL, Biopsia Cutánea -

fiogf49gjkf0d


Fig.3: ATLL biopsia Cutánea H-E - <div style=fiogf49gjkf0d">
Fig.3: ATLL biopsia Cutánea H-E -

fiogf49gjkf0d


Fig. 4: ATLL, Biopsia cutánea. H-E - <div style=fiogf49gjkf0d">
Fig. 4: ATLL, Biopsia cutánea. H-E -

fiogf49gjkf0d


Fig.5: ATLL, Biopsia ganglionar. PAS - <div style=fiogf49gjkf0dHistiocitos fagocitando numerosas microorganismos correspondientes levadura de Histoplasma Capsulatum.">
Fig.5: ATLL, Biopsia ganglionar. PAS -

fiogf49gjkf0d
Histiocitos fagocitando numerosas microorganismos correspondientes levadura de Histoplasma Capsulatum.


Fig. 6: ATLL, Biopsia Ganglionar. PAS - <div style=fiogf49gjkf0dInclusión citoplasma producida por Histoplasma Capsulatum.">
Fig. 6: ATLL, Biopsia Ganglionar. PAS -

fiogf49gjkf0d
Inclusión citoplasma producida por Histoplasma Capsulatum.


Fig. 7: Infiltración dérmica. ATLL. - <div style=fiogf49gjkf0d">
Fig. 7: Infiltración dérmica. ATLL. -

fiogf49gjkf0d


Fi.8: ATLL, Infiltración dermica. - <div style=fiogf49gjkf0d">
Fi.8: ATLL, Infiltración dermica. -

fiogf49gjkf0d




Discusión    

fiogf49gjkf0d

         El pueblo Aymara es una etnia autóctona de la región de los Andes, que habita en territorio pertenecientes al imperio Inca, antes de la invasión española. Este territorio comprende el Norte de Argentina, Bolivia y Sur de Perú. Esta etnia tiene rasgos antropomorfos mongoloides, con baja estatura y gran similitud con las razas asiáticas, de las cuales se creé que emigraron por vía transpacífica. Estudios de HTLV-I realizados en Bolivia, mostraron la presencia de HTLV-I en Aymaras, pero no en Chipayas, ni en Quechuas. También en Bolivia estudios realizados por investigadores japoneses encontraron ADN proviral de HTLV-I en momias de 3000 años de antiguedad. Por lo que e supone que la migración transpacífica ocurrió al menos hace 3000 años y que estas etnias, transportaron HTLV-I junto a ellos. Interesante es destacar que en el hospital Posadas de Buenos Aires, el 70% de los portadores de HTLV-I en bancos de sangre son originarios de la provincia de Jujuy o de formosa, distantes mas de 1700 km de la ciudad de Buenos Aires.

         Esta similitud antropomorfa con razas asiáticas, sumado al elevado número de linfomas de estirpe celular T en Jujuy, permitió sospechar en su momento la presencia de ATL en nuestra provincia, lo que se comprobó con la ayuda de la Universidad de Kagoshima-Japón, al establecerse un grupo cooperativo.
         En este caso la paciente provenía de zona endémica para HTLV-I, con rasgos antropomorfos mongoloides y lesiones cutáneas y ganglionares que permitían la sospecha de ATLL. La paciente se internó en la sala de Enfermedades Infecciosas y Medicina Tropical del Hospital San Roque de Jujuy, donde se realizaron los estudios de HTLV-I y se tomaron las biopsias ganglionares y cutáneas, las que fueron estudiadas en el Hospital Pablo Soria de Jujuy.
        La presencia de infiltrado polimorfo de linfocitos T cutáneos, con epidermotropismo y proliferación linfoide difusa de células T en ganglio linfático, en paciente HTLV-I+, se interpretó como un caso de ATLL. La biopsia ganglionar linfática mostraba además una invasión por microformas PAS+ positivas con halo claro sugerentes de pertenecer a Histoplasma Capsulatum, lo que se confirmó por cultivo. Siendo esta la primera vez que observamos un caso de ATLL asociado a Histoplasmosis, ya que generalmente se refieren asociados a Criptococosis.           

 

Conclusiones    

fiogf49gjkf0d
    Presentamos un caso de linfoma de células T, asociado a HTLV-I e Histoplasmosis, en paciente de sexo femenino, provinente de zona endémica para HTLV-I y perteneciente a una etnia autóctona, con elevada prevalencia de este retrovirus.
    En este caso el linfoma asociaba forma ganglionar y cutánea. En general se reporta ATLL asociado a Criptococosis, siendo este el primer caso que observamos con asociación a Histoplasmosis.   

 

Bibliografía    

1)      Jaffe ES, Harris NL, Stein H, Vardinam JW (eds) World Health Organization Classification of Tumors: Pathology and Genetic of Tumors of hematopoietic and lymphoid tissues. Lyon-France IARC press, 2001.

 

2)      Takatsuki K, Uchiyama T, Sagawa K, Yodoi J. Adult T-cell leukemia in Japan. In topic in hematology. The 16th international congress of hematology. Edite by Seno S, Takaku F and Irino S. Amsterdam. 1977:73-77.

 

3)      Uchiyama T, Yodoi J, Sagawa K, Takatsuki K, Uchino H. Adult T-cell leukemia: Clinical and hematologic features of 16 cases. Blood 1977; 50: 481-492.

 

4)      Takatsuki K. Discovery of Adult T-cell leukemia. Retrovirology 2005; 2: 16.

 

5)      Poiesz B, Ruscetti F, Gazdar A, Bunn P, Minna J, Gallo R. Detection and isolation of type C retrovirus particles from fresh and cultured lymphocytes of a patient with Cutaneous T-cell Lymphoma. Proc Natl Acad Sci U S A 1980; 77:7415-7419.

 

6)       Gallo R. The discovery of the first human retroviruses: HTLV-1 and HTLV-2. Retrovirology 2005; 2:17.

 

7)      Poisz B, Ruscetti F, Gazdar Reitz M, Kalyanaraman V, Gallo R. Isolation of a new type C retrovirus (HTLV) in primary uncultured cells of a patient with Sezary T-cell leukemia. Nature 1981; 294: 268-271.

 

8)      Miyoshi I, Kubonishi I, Yoshimoto S, Akagi T, Ohtsuki Y, Shiraishi Y. y col. Type C virus particles in a cord T-cell line derived by co-cultivation normal human cord leukocytes and human leukemic T cells. Nature 1981; 294: 770-771.

 

9)      Hinuma Y, Nagata K, Hanaoka M y col. Adult T-cell Leukemia: antigen in a adult T-cell leukemia line and detection of antibodies to the antigen in human sera. Proc Natl Acad Sci U S A 1981; 78: 6476-6480.

 

10)  Hinuma Y, Komoda H, Chosa T y col. Antibodies to Adult T-cell Leukemia virus-associated antigen (ATLA) in sera from patients with ATL and controls in Japan: a nation-wide ser-epidemiologic study. Int J Cancer 1982; 30: 257-64.

 

11)   Yoshida M, Miyoshi I, Hinuma Y. Isolation and characterization of retrovirus from cell lines of Human T-cell Leukemia and its implication in the disease. Proc Natl Acad Sci USA 1982; 79: 2031-2035.

 

12)  Seiki M, Hattori S, Hirayama Y, Yoshida M. Human Adult T-cell leukemia virus: Complete nucleotide sequence of the provirus genome integrated in leukemia cell DNA. Proc Natl Acad Sci USA 1983; 80:3618-3622.

 

13)   Masao Matsuoka. Human T-cell leukemia virus type I (HTLV-I) infection and the onset of Adult T-cell leukemia (ATL). Review. Retrovirology 2005; 2: 27.

 

14)  Maeda T, Yamada Y, Moriuchi R, Sugahara K, Tsuruda K, Joh T, Atogami S, Tsukasaki K, Tomonaga M, Kamihira S. Fas Gene Muattion in the Progression of Adult T-cell Leukemia. J Exp Med 1999; 189: 1063-1071.

 

15)  Overbough J. HTLV-1 Sweet-talks its way into cell. Nature Medicine 2004; 10: 20-21.

 

16)  Tkatsuki K. Adult T-cell Leukemia. Edited by Kiyoshi Takatsuki. Oxford Medical Publications. 1994.  

 

17)   Uchiyama T, Yodoi J. Adult T-cell Leukemia and Related Diseases. Springer-Verlag. 1995.

 

18)   Catovsky D, Greaves M, Rose M y col. Adult T-cell leukemia in blacks from the west Indies. 1982; 37:736-747.

 

19) De Oliveira M, Matutes E, Famadas L y col.  Adult T-cell Leukemia / Lymphoma in Brazil and its relation to HTLV-1. Lancet 1990; 336: 987-990.
20) Marin. O, Hasui K, Remondegui C. y Col. Adult T-cell leukemia/lymphoma in Jujuy, north-west Argentine. Pathology International. 2002;52:348-357.
21) Hong-Chuam L, Fujiyoshi T, Yashiki S, Sonoda S, Cartier L, Nuñez L, Munños L, Horai S, Tajima K.
      The prescence of ancient human T-cell lymphotropic virus type I provirus DNA in an Andean mummy.
      Nature Medicine 1999,5: 1428 1432.

 

Comentarios

- Emilio Mayayo Artal (03/10/2005 11:21:22)

Me ha gustado mucho el caso. Supongo que la asociación debe ser fortuita y dentro del contexto de su enfermedad de base.
Me llama la atención que en la figura nº6 hay una imagen que recuerda la inclusión de Citomegalovirus, junto a histoplasma. ¿puede ser?
Felicidades por el caso y por tus estudios.
Emilio

- Oscar Marin (06/10/2005 3:10:14)

Gracias por los comentarios. En referencia a la figura 6, es una imágen rara. Personalmente no se que es, pero lo interpreto como perteneciente a la misma histoplasmosis. Tal vez algún estadio o una particularidad de este. Un citomegalovirus se caracteriza por inclusión intranuclear, pero en este caso (le técnica es un PAS) el núcleo celular parece estar contiguo a esta estructura. En H-E parecía una célula de Reed-Sternberg, pero con PAS, interpreté el núcleo celular ubicado al lado de una levadura.

- Mirta Garcia Jardon (17/10/2005 8:10:36)

Felicidades, el caso está muy interesante y las imágenes son muy demostrativas. Estos pacientes pueden desarrollar inmunodeficiencia secundaria al linfoma (aún careciendo de infección por VIH) así que no sería extraño la asociación con cualquier otra infección oportunista.

 

 

Web mantenido y actualizado por el Servicio de informática uclm. Modificado: 16/06/2015 15:10:50