Póster
Nº 070

IICVHAPp.gif (9537 bytes)

IndiceIndice

Teratoma mediastínico con componentes de tumor del seno endodérmico


Luis Alfaro FerreresMiguel Rayón MartínAgustín Froufe Sánchez

Título

Iconografía

Comentarios

[Título] [Iconografía] [Discusión] [Bibliografía]


DESCRIPCIÓN DEL CASO

El caso estudiado se presentó en un varón de 15 años que debutó con un cuadro de disnea, tos y dolor torácico. Los estudios radiológicos y tomográficos revelaron una tumoración mediastínica de gran tamaño, que inicialmente se estudio mediante PAAF. La muestra resultó acelular, y se decidió intervención quirúrgica. Se realizó biopsia intraoperatoria con diagnóstico de teratoma maduro. La tumoración fue extirpada por completo y macroscópicamente presentaba áreas sólidas alternando con númerosos quistes de contenido mucoide o hemático (Imagen 1). Tenía apariencia bilobulada con un tamaño de 12 y 10 cm (Imagen 2).
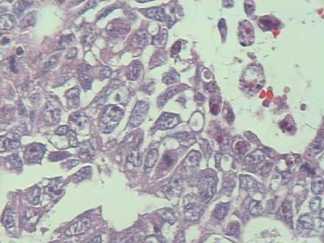
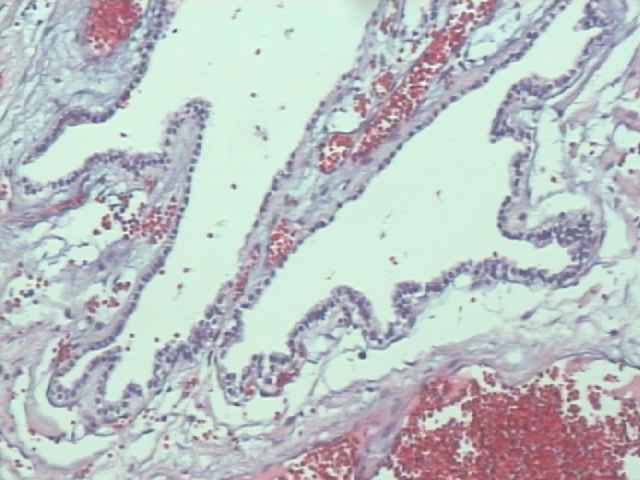
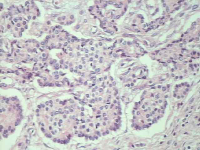
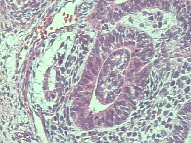
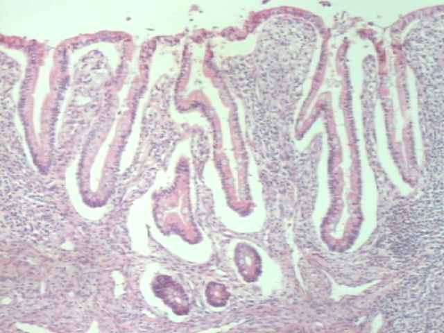
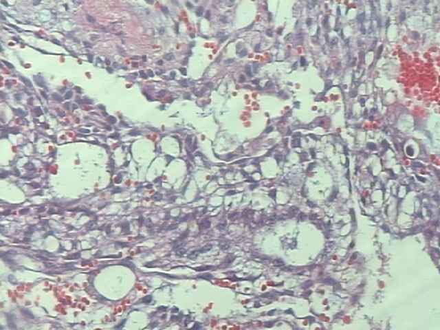
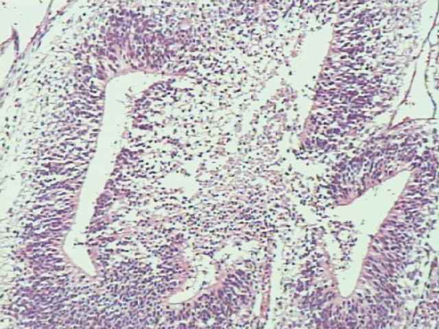
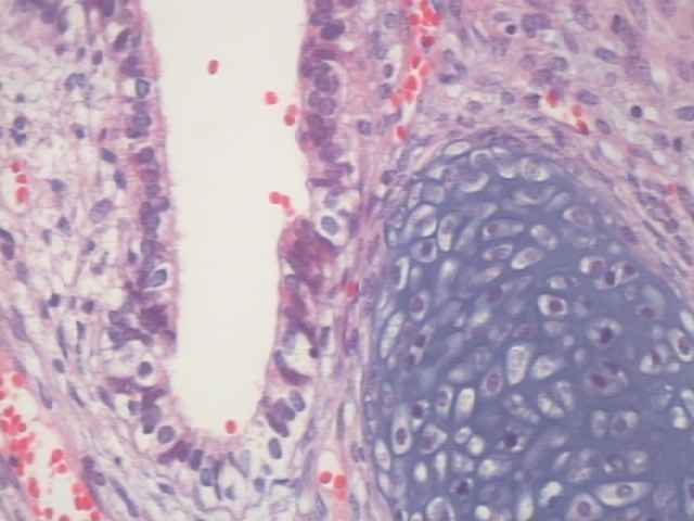
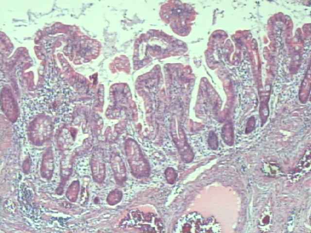
El estudio microscopico reveló numerosos patrones con múltiples elementos tisulares que en el 95% de la neoplasia correspondian a tejidos maduros. Se identificaron quistes con revestimiento escamoso y contenido queratínico, mucosa de tipo gástrico (Imagen 3), epitelio bronquial con nidos cartilaginosos (Imagen 4), nidos de tumor carcinoide (Imagen 5), cavidades con revestimiento de células cuboideas de aspecto mesotelial (Imagen 6), mucosa de tipo duodenal (Imagen 7), etc. De forma focal se observaron, sin embargo, áreas con células pleomórficas, de apariencia maligna y con elevada tasa mitótica (Imagen 8). En relacion con estas áreas se apreciaron patrones de crecimiento del tipo del tumor del seno endodérmico, con estroma mixoide (Imagen 9), y sólido y glóbulos hialinos extra e intracelulares. Se encontraron estructuras encuadrables como cuerpos de Schiller-Duval e incluso elementos glándulares atípicos semejantes a los de un carcinoma embrionario (Imagen 10). En otras áreas la neoplasia mostraba componentes mesenquimales inmaduros y tejido en forma de túbulos neurales (Imagen 11), y rosetas (Imagen 12).
La áreas de patrón histológico de tumor del seno endodérmico mostraron intensa expresión inmunohistoquímica para alfa feto proteína (Imagen 13 e Imagen 14).


Indice