Póster
Nº 038

IICVHAPp.gif (9537 bytes)

IndiceIndice

HIPERPLASIA VIRGINAL UNILATERAL DE LA MAMA

Dra. MV López Soto*; Dra. MC Benítez García*; Dr. JJ Fernández de Mera**

* HCQ Hermanos Ameijeiras. La Habana. Cuba. Servicio Patología.
** H Infanta Cristina. Badajoz. España. Servicio Patología.

Servicio de Anatomía Patológica
HRU "Infanta Cristina"
Carretara de Portugal s/n
06080 Badajoz

Comentarios

Página Principal

INDICE


Resumen

INTRODUCCIÓN

Las mamas en su desarrollo normal van creciendo gradualmente hasta alcanzar los rasgos de la mama adulta. En ocasiones sufre un crecimiento rápido y masivo que casi siempre es bilateral aunque a veces es marcadamente asimétrico.

La causa es desconocida, aunque se consideran factores hormonales. No presentan regresión espontánea por lo que necesitan mastoplastias reductoras.

CASO CLÍNICO

Mujer de 15 años que refiere aumento rápido de tamaño de la mama izquierda.

Se le realizan análisis sanguíneos y distintos estudios imageneológicos, así como punción aspiración y tratamiento quirúrgico reparador.

RESULTADOS

Los estudios analíticos no revelaron alteraciones endocrinas reseñables.

El estudio ecográfico demostró aumento de la ecogenicidad de la mama, la mamografía un gran nódulo que en la vista lateral ocupaba todo el hemisferio inferior y en la craneocaudal más de las 3/4 partes de mama, de densidad homogénea y contornos definidos.

La imagen tomográfica era hiperdensa en MI y se extendía hasta las cercanías de la pared costal.

El diagnóstico imagenológico fue de Fibroadenoma Gigante.

PAAF

El extendido de la punción aspiración con aguja fina resultó hipocelular, encontrándose sábanas de epitelio ductal, lobulillos poco desarrollados y tejido fibroso

Placa epitelial y tejido fibroso denso.

Se emitió el diagnóstico de HIPERPLASIA VIRGINAL DE LA MAMA.

Ante este resultado se procedió a la corrección quirúrgica de la hipertrofia.

ESTUDIO MACROSCÓPICO

Formación redondeada de 30 cm. de diámetro de consistencia firme pero elástica. Color blanco amarillento.

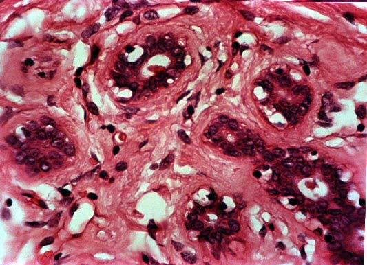
ESTUDIO MICROSCÓPICO

Se observa abundante tejido conectivo con áreas de hialinización que rodea conductos y lobulillos poco desarrollados

Tejido conectivo con áreas de hialinización rodeando ductos poco desarrollados.

concluyéndose como HIPERTROFIA VIRGINAL DE LA MAMA.

DISCUSIÓN

Al ser el aumento de volumen unilateral y el hecho de que clínicamente no se sospeche la entidad obligó a la realización de medios imageneológicos como la TAC y la mamografía, sin que esté reconocida en la literatura un patrón imageneológico típico.

Microscópicamente lo relevante es la combinación de proliferación ductal y estromal con participación lobular escasa (1).

La reducción quirúrgica juega un papel determinante en el tratamiento de esta lesión, sin embargo se ha podido comprobar la utilidad del citrato de tamoxifén, que favorece la reducción de la masa (2)

La hipertofia virginal verdadera es relativamente rara (3), por lo que es necesario realizar diagnóstico diferencial básicamente con fibroadenoma, fibroadenoma juvenil y tumor filodes (4).

BIBLIOGRAFÍA

1.- Pettinato G, Manivel JC, Kelly DR, Wold LE, Dehner LP. Lessions of the breast in children exclusive of typical fibroadenoma and gynecomastia. A clinicpathologic study of 113 cases. Pathol Annu 1989; 24 (Pt 2): 296 - 328.

2.- Ryan RF, Pernoll ML. Virginal hypertrophy Plast Reconstr Surg, 1985; 75(5): 737-742.

3.- Netscher DT; Mosharrafa AM; Laucirica R. Massive asymmetric virginal breast hypertrophy. South Med J 1996; 89(4): 434-437.

4.- D´Alessandro DR, Taylor FM. Unilateral breast enlargement due to localized fibrosis. South Med J, 1986 79(11): 1451-1453.


Palabras Clave: mama, hiperplasia, virginal

Página Principal

INDICE


Dra. MV López Soto*; Dra. MC Benítez García*; Dr. JJ Fernández de Mera**
Copyright © 1998. Reservados todos los derechos.

Contador de visitas a la página