Póster |
Dra. María Victoria López Soto*; Dra. María del Carmen Benítez García*; Dr. Abel Blanco Fernández*; Dr. J J Fernández de Mera**; Dra. Marila Díaz Tamayo-Saco
* HCQ Hermanos Ameijeiras. La Habana. Cuba.
** H Infanta Cristina. Badajoz. España.
Servicio de Anatomía Patológica
HRU "Infanta Cristina"
Carretara de Portugal s/n
06080 Badajoz
La presencia de megacariocitos en los derrames serosos, puede estar asociada a diversos trastornos de la hematopoyesis como los Síndromes Mieloproliferativos, Mielodisplásicos, linfomas o la presencia de tumores secundarios que infiltran médula ósea (1).
Es necesario conocer su morfología citológica y las condiciones en las cuales las podemos encontrar para diferenciarlas de células neoplásicas malignas.
Mujer de 48 años de edad con antecedentes de mielofibrosis primaria desde 1985 y esplenectomía hace 1 año con diagnóstico de metaplasia mieloide.
Refiere dolor abdominal y ascitis por lo que se le practica paracentesis, obteniéndose líquido de color amarillo rojizo
La muestra enviada a la sección de citología, donde es citocentrifugada y sometida a las técnicas habituales.

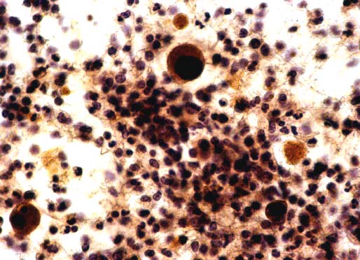
Se obtiene un extendido celular compuesto por histiocitos, células mesoteliales, y numerosas células sueltas, grandes, con abundante citoplasma y núcleos polilobulados, ocasionalmente de aspecto abigarrado

Con los antecedentes se enfocó la posibilidad de que estas células correspondieran a megacariocitos. Se emplearon técnicas inmunohistoquímicas contra FVIII, resultando intensamente positivo el citoplasma de éstas células
Los megacariocitos son células grandes que miden 50 a 100 nm, de citoplasma granular y membrana citoplasmática bien demarcada. El núcleo es grande lobulado o múltiple, con estructura característica bien definida. Contiene múltiples nucléolos.
Los megacarioblastos son células más pequeñas, con menos citoplasma, núcleo grande y redondo, más raramente bilobulado y cromatina delicada con uno o varios nucléolos.
Ocasionalmente solo se encuentran masas citoplasmáticas anucleadas (1).
Se encuentran en los derrames como resultado de una hematopoyesis extramedular en las cavidades serosas.
Estas formaciones pueden confundirse con células neoplásicas, por lo que la inmunohistoquímica puede ser de gran ayuda, utilizando el Factor VIII como marcador de megacariocitos (2).
1. Kumar NB, Naylor B. Megakaryocytes in pleural and peritoneal fluids: prevalence, significance, morphology, and cytohistological correlation. J Clin Pathol, 1980; 33(12): 1153 - 1159
2. Yazdi HM. Cytopathology of extramedullary hemopoiesis in effusions and peritoneal washings: a report of three cases with immunohistochemical study. Diagn Cytopathol, 1986, 2(4): 326-329.